Isolation of donor gamma globulin obtained from multiparous women and its effects upon expression of HLA-G and HLA-DR molecules on lymphocytes from mothers of children with septal congenital heart defects
- Authors: Shabaldin A.V.1, Sinitskaya A.V.1, Shmulevich S.A.1, Grishacheva E.O.1, Shabaldina E.V.2, Deeva N.S.1
-
Affiliations:
- Research Institute for Complex Issues of Cardiovascular Diseases
- Kemerovo State Medical University
- Issue: Vol 27, No 1 (2024)
- Pages: 71-84
- Section: ORIGINAL ARTICLES
- Submitted: 18.07.2023
- Accepted: 05.10.2023
- Published: 06.08.2024
- URL: https://rusimmun.ru/jour/article/view/14186
- DOI: https://doi.org/10.46235/1028-7221-14186-IOD
- ID: 14186
Cite item
Full Text
Abstract
A common pathogenetic mechanism of reproductive losses and congenital heart disease (CHD) is associated with immune inflammation in the “mother-embryo” system which affects differentiation and proliferation of cardiovascular progenitor cells. It is hypothesized that this link may be blocked by regulatory auto- and alloimmune antibodies to HLA-G and HLA-DR molecules. Moreover, these antibodies may be present at sufficient amounts in donor immunoglobulins, especially those obtained from the blood of multiparous women. Based on this suggestion, the aim of our study was to obtain enriched gamma globulin fraction from the blood of multiparous women and evaluate its functional effects towards HLA-DR and HLA-G molecules.
Isolation of the gammaglobulin fraction (GGF) from the blood plasma of multiparous women was performed using affinity chromatography in several sessions. Purity grade of the resulting protein was analyzed by immunoelectrophoresis, electrophoretic separation of the protein fraction of blood serum and electrophoresis in 4.12% polyacrylamide gel with the addition of SDS (PAGE electrophoresis). PAAG electrophoresis showed that this GGF did not differ from commercial therapeutic intravenous immunoglobulin (IVIG).
Assessment of the functional activity of GGF upon HLA-DR and HLA-G molecules was performed in the main group of women and their children with congenital heart disease (n = 38), and control group of women who gave birth to conditionally healthy children (n = 21). To determine the specificity of GGF with respect to HLA-G, HLA-DR molecules, as well as to compare its effect with autologous and allogeneic sera and IVIG, we developed an immunological testing protocol using flow cytometry. The protocol was arranged on the basis of the methodology of “cross-match” approach and Russian patent “Method for determining antibodies to HLA-G”. It was found that the blocking activity of female serum towards autologous (intrinsic) and allogeneic (embryo/fetus/child) HLA-G and HLA-DR molecules may determine the protective effect on development of congenital heart defects in the next generation. Donor human immunoglobulin showed a similar blocking effects to these molecules, possibly due to the presence of alloimmune antibodies to HLA classes I and II. The gammaglobulin fraction obtained from the donor blood of multiparous women has a more pronounced blocking effect on the HLA-G and HLA-DR expression. Hence, this immunobiological preparation can be considered a prototype of therapeutic and prophylactic agent blocking the genesis of congenital heart defects.
Full Text
Введение
Иммунные механизмы, лежащие в основе репродуктивных потерь и врожденных пороков, аномалий развития плода, продолжают активно изучаться [16]. Взаимосвязь между этими двумя патологическими состояниями не всегда очевидна, но она имеет место. Так, эмбриональный период с 3-й по 8-ю неделю гестации является наиболее критичным. Именно в этот временной отрезок наиболее часто происходит прерывание беременности, и в этот же период формируются врожденные пороки развития плода, в том числе и сердечно-сосудистой системы. С позиции репродуктивной морфологии и физиологии происходит иммунная адаптация материнского микроокружения к аллогенным антигенам эмбриона, механизмы которой также продолжают активно изучаться [3]. В то же время в самом эмбрионе идет органогенез, регулируемый огромным количеством внутриклеточных и межклеточных мессенджеров. Эти регуляторные сети обеспечивают, с одной стороны, эффективный органогенез, а с другой – они подвержены влиянию внешнего микроокружения, в том числе иммунным взаимодействиям в системе «мать-эмбрион/плод». Последние определяют провоспалительный потенциал, распространяющийся на эмбриобласт. Неоднократно формулировалась гипотеза о триггерах, запускающих патологические регуляторные сети при эмбриогенезе сердечно-сосудистой системы, и являющихся продуктами иммунных взаимодействий в системе «мать – эмбрион/плод» [8].
Именно на это общее звено патогенеза репродуктивных потерь и врожденных пороков и аномалий развития плода, в том числе врожденных пороков сердца (ВПС), может быть направлена прегравидарная иммунная терапия.
Одним из иммунных препаратов является иммуноглобулин для внутривенного введения, который применяется при лечении аллогенной формы репродуктивных потерь [12]. Данный препарат может содержать антитела, блокирующие материнские молекулы презентации аллоантигенов (HLA-DR) или модулирующие экспрессию эмбриональных HLA, в том числе и HLA-G. Именно, через эти механизмы может быть ограничено воспаление в системе «мать-эмбрион» и, ассоциированный с ним, тератогенез в сердечно-сосудистой системе. Иммуноглобулины для внутривенного введения применяются в лечебных целях как до беременности, так и вовремя нее [4].
Исходя из высказанной концепции, что ВПС это воспалительные эмбриопатии, формирующиеся при нарушеннии иммунных взаимодействиях в системе «мать-эмбрион/плод», вполне обосновано применение иммуноглобулина для профилактики риска формирования спорадических (без семейной истории и без хромосомной патологии) ВПС на прегравидарном этапе, а также лечения во время беременности. Лечебный эффект будет заключаться в блокировании материнских HLA и свободных для распознавания HLA молекул эмбриобласта. Тот факт, что наибольшее количество антител к антигенам HLA различных классов выявляется у женщин репродуктивного периода и имеющих несколько детей, доказывает их физиологическую роль [2]. Соответственно, можно предположить, что иммуноглобулин, полученный из крови многорожавших женщин, будет иметь больший протективный эффект в отношении блокирования иммунного воспаления в системе «мать-эмбрион/плод», и лежащего в основе патогенеза как репродуктивных потерь, так и ВПС.
Исходя из этого, была поставлена цель исследования – получение очищенной фракции гамма-глобулина из крови многорожавших женщин и оценка ее функциональной активности в отношении молекул HLA-DR и HLA-G.
Материалы и методы
Для получения очищенной фракции гамма-глобулина (ФГГ) из крови многорожавших женщин, выполнен забор периферической крови в объеме 10 мл у 60 женщин, имеющих в анамнезе более четырех родов (все дети были условно здоровыми). Периферическая донорская кровь набиралась в течение 2020-2021 года. Сбор крови проводился в родильном доме Областной детской клинической больницы имени Ю.А. Атаманова г. Кемерово в пробирки, содержащие натриевую соль этилендиаминтетрауксусной кислоты (ЭДТА).
Выделение ФГГ из плазмы крови многорожавших женщин выполняли с помощью аффинной хроматографии в несколько сеансов (по 85 мл плазмы на один сеанс).
Чистоту полученного белка анализировали с помощью электрофоретического разделения белковой фракции сыворотки крови и электрофореза в 4-12% полиакриламидном геле с добавлением додецилсульфата натрия (SDS).
Для оценки функциональной активности ФГГ в отношении молекул HLA-DR и HLA-G сформировано несколько групп: основная группа включала 38 женщин и их детей со спорадическими септальными ВПС (дефект межжелудочковой перегородки – ДМЖП и дефект межпредсердной перегородки – ДМПП). Группа сформирована на базе отделения кардиохирургии № 2 Научно-исследовательского института комплексных проблем сердечно-сосудистых заболеваний (НИИ КПССЗ). Группа сравнения представлена 21 женщиной и их условно здоровыми детьми без ВПС, которая собрана на поликлинических базах ФГБОУ ВО «Кемеровский государственный медицинский университет». У всех матерей получено информированное согласие на их участие, а также их детей в иммунологическом исследовании. Группы были сопоставимы по полу и возрасту.
На выделенных лимфоцитах (далее обозначались как донорские) оценивалась функциональная активность очищенной и сконцентрированной ФГГ. Выбор групп исследования был обусловлен тем, что функциональная оценка ФГГ проводилась как по отношению к эффекту аутосыворотки женщин, имеющих детей с ВПС, так и к таковому у женщин, родивших исключительно условно здоровых детей.
Статитстическую обработку полученного материала проводили с использованием пакета прикладных программ STATISTICA 8.0 (StatSoft Inc., США). Нормальность распределения выборок оценивали с помощью W-теста Шапиро–Уилка. Номинальные данные описывались с указанием абсолютных значений, процентных долей (%). Количественные данные представляли в виде медианы (Ме), 25-го и 75-го процентилей (Q0,25-Q0,75). Сравнение значений уровней метрических показателей в несвязанных выборках проводили с помощью непараметрического Манна–Уитни, а в связанных – Вилкоксона. Вероятность ошибки первого рода была принята за 5%, соответственно уровень статистической значимости выявлялся при p < 0,05, что соответствует стандартным требованиям.
Результаты
Получение фракции гамма-глобулина из плазмы многорожавших женщин
Выделение ФГГ (с высокой концентрацией иммуноглобулина G, IgG) осуществлялось при помощи системы DEAE Affi-Gel Blue (Bio-Rad, США). Получение и десорбцию ФГГ осуществляли с применением подвижной фазы буферов (20 мм K2HPO4/ KH2PO4, рН 8,0, 0,02%). Значение рН регулировали с помощью добавления 0,1 М KOH. Работу осуществляли на хроматографе низкого давления BioLogic (Bio-Rad, США). Подготовка сорбента включала рекомендованные производителем этапы, в том числе предварительную отмывку сорбента от остаточного красителя на стеклянном фильтре с последующим перенесением сорбента в фосфатный буфер и упаковку сорбента.
Рисунок 1. Хроматограмма выделения ФГГ с объемом элюции 16-20 мл и десорбированного сывороточного белка с объемом элюции 75-85 мл
Figure 1. Chromatogram of the isolation of FGG with an elution volume of 16-20 mL and desorbed whey protein with an elution volume of 75-85 mL
Фракция (рис. 1) собиралась с помощью коллектора фракций BioFrac. Регенерацию сорбента после анализа осуществляли 0,5 М раствором NaCI.
За все сеансы суммарно получено 80 мл ФГГ с концентрацией белка 5,1 г/л и остаточным альбумином менее 0,2 г/л. Анализ общего белка и альбумина проводился на анализаторе Architect C8000 (Abbott, США). Концентрация белка в ФГГ соответствовала нижней границе концентрации иммуноглобулина G в сыворотке крови человека. Данная фракция была обозначена как ФГГ1.
Далее был выполнен электрофорез белков хроматографического смыва в 1,5% агарозном геле на 0,05 М веронал-мединаловом буфере (ph = 8,6) в три этапа. Первый этап связан с проведением электрофореза белков хроматографического смыва в агарозном геле. На втором этапе в агарозный гель была добавлена моноспецифическая сыворотка против иммуноглобулина G человека («Моно-РИД-G», АО НПО «Микроген», Россия), антитела которой при диффузии в геле преципитировали со специфическими молекулами. Третий этап был связан с высушиванием и окрашиванием пластины с гелем для верификации линий преципитации.
Рисунок 2. Электрофорез хроматографического смыва в 1,5%-ном агарозном геле, окраска Суданом черным
Figure 2. Electrophoresis of chromatographic wash in 1.5% agarose gel, stained with Sudan black
Иммуноэлектрофорез показал, что в хроматографическом смыве имеется фракция иммуноглобулина G человека (рис. 2, см. 2-ю стр. обложки).
Кроме того, выполнен электрофорез белков сыворотки крови на коммерческих наборах для электрофоретического разделения белковой фракции сыворотки крови на мембранах ацетилцеллюлоза («КлиниТест-ЭФ», Россия). Снятие результатов электрофореза проводилось на отечественном аппарате для электрофореза белков сыворотки крови УЭФ-01-«Астра» (Россия), данные представлены на рисунке 3 (см. 2-ю стр. обложки). Как видно из рисунка (дорожка № 6, ФГГ1), в полученном образце выявлялась преимущественно фракция гамма-глобулинов в невысокой концентрации. Эти данные наглядно показывают, что была выделена именно фракция гамма-глобулинов. Необходимо отметить, что концентрация гамма-глобулинов в лечебных препаратах иммуноглобулинов для внутривенного введения равна 50 г/л. Для оценки эффектов коммерческих иммуноглобулинов для внутривенного введения и полученной ФГГ1, необходимо последнюю сконцентрировать как минимум в 5 раз.
Рисунок 3. Электрофоретическое разделение белковой фракции сыворотки крови на мембранах ацетилцеллюлозы («КлиниТест-ЭФ», Россия)
Примечание. Дорожка № 6, ФГГ1 является анализируемым образцом.
Figure 3. Electrophoretic separation of the protein fraction of blood serum on cellulose acetate membranes (CliniTest-EF, Russia)
Note. Lane No. 6, FGG1 is the analyzed sample.
Для концентрации ФГГ1 была использована установка FreeZone 2.5 Plus (Labconco, США). Замороженные образцы в объеме по 40 мл лиофилизировали с использованием установки FreeZone 2.5 Plus (Labconco, США) в течение суток при вакууме 0,04 мБар и температуре от -50 °С. Выполнено 2 сеанса лиофилизации. Каждый из полученных лиофилизатов разводили в 4 мл 0,5М раствором NaCI. Объединенный общий объем составил 8 мл. Тем самым проведено концентрирование по объему в 10 раз. Повторное исследование общего белка и альбумина на анализаторе Architect C8000 (Abbott, США) показало концентрацию белка 30,6 г/л, а остаточный альбумин – 0,2 г/л. Данная фракция обозначалась ФГГ2, и она была сконцентрирована по отношению к ФГГ1 в 6 раз. Кроме того, ФГГ2 может быть прототипом иммуноглобулина человека для внутривенного введения, полученного от многорожавших женщин.
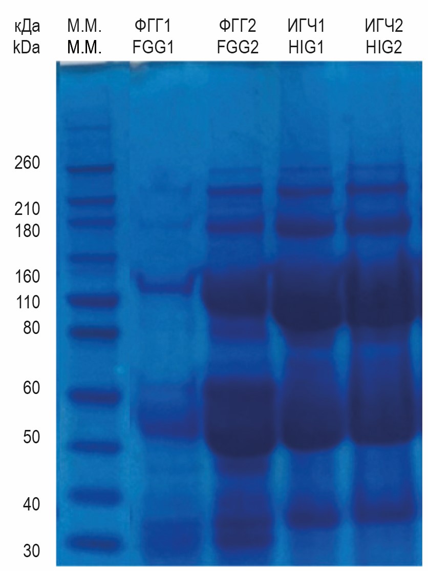
Для верификации белков, входящих в ФГГ2, и сравнения ее со стандартным иммуноглобулином человека для внутривенного введения был проведен электрофорез в 4-12% полиакриламидном геле в присутствии додецилсульфата натрия (SDS-PAGE). Для SDS-PAGE использовали фракции ФГГ1, ФГГ2 и иммуноглобулины человека для внутривенного введения (ИГЧ1 – иммуновенин 5%, АО НПО «Микроген», Россия; ИГЧ2 – иммуноглобулин человека нормальный для внутривенного введения 5%, АО НПО «Микроген», Россия). Белки разделяли путем электрофореза в 4-12% полиакриламидном геле в присутствии додецилсульфата натрия (SDS-PAGE) при напряжении 150 В в течение 2 часов с использованием буфера для разделения белков NuPAGE MES SDS (NP0002, Thermo Fisher Scientific), антиоксиданта NuPAGE (NP0005, Thermo Fisher Scientific) и камеры для вертикального электрофореза XCell SureLock Mini-Cell (EI0001, Thermo Fisher Scientific). В качестве маркера молекулярных масс использовали смесь белковых стандартов Novex Sharp Pre-Stained (LC5800, Thermo Fisher Scientific). Гель окрашивали красителем Кумасси (Coomassie Brilliant Blue G-250) (рис. 4, см. 2-ю стр. обложки).
Рисунок 4. ДСН-ПААГ электрофорез
Примечание. М.М. – молекулярная масса; kDa – кило Дальтоны.
Сокращения (ФГГ1, ФГГ2, ИГЧ1, ИГЧ2) расшифрованы в тексте. Окраска Кумасси.
Figure 4. SDS-PAGE electrophoresis
Note. M.M., molecular mass; kda, kilo Daltons.
Abbreviations (FGG1, FGG2, HIG1, HIG2) are deciphered in the text. Coomassie coloring.
Как видно из рисунка 4, основные бенды ФГГ1, ФГГ2, ИГЧ1 и ИГЧ2 полностью совпадали между собой. Концентрация белков от ФГГ1 к ФГГ2 значительно увеличилась, но даже в последней была ниже, чем в стандартных лечебных иммуноглобулинах для внутривенного введения (ИГЧ1 и ИГЧ2). Так, в ФГГ2 концентрация общего белка составляла 29 г/л, а в ИГЧ1 и ИГЧ2 – 50 г/л, что в 1,7 раза больше. Молекулярная масса основных белков в ФГГ2, ИГЧ1 и ИГЧ2 была в пределах 110-150 г/л, что соответствует молекулярной массе гамма-глобулинов.
На данном этапе работы из крови многорожавших женщин была получена очищенная и сконцентрирована фракция гамма-глобулина (ФГГ1/ФГГ2), что документировано в иммуноэлектрофорезе, в электрофорезе белков сыворотки крови и в ДНС-ПААГ электрофорезе, и именно эта фракция оценивалась в последующих иммунологических исследованиях.
Влияние ФГГ на экспрессию молекул HLA-G и HLA-DR лимфоцитов матерей и детей с септальными врожденными пороками сердца и контрольных групп
Протокол проточной цитофлуориметрии
Для определения специфичности сконцентрированной ФГГ2 по отношению к молекулам HLA-G, HLA-DR, а также для сравнения его эффекта с аутогенными и аллогенными сыворотками и стандартным лечебным 5%-ным иммуноглобулином для внутривенного введения (ИГЧ1) был разработан протокол иммунологического тестирования с помощью проточной цитофлуориметрии. Протокол был разработан на основе методического подхода – cross-match, а также использован метод определения антител к HLA-G, для которого был получен патент Российской Федерации [5].
Для тестирования ФГГ2 были выделены у всех обследованных лимфоциты из 4 мл периферической крови на градиенте плотности фиколл-верографина 1,077 г/см3 («Фиколл-1077», ООО «Диаэм», Москва) по стандартной методике. Полученные взвеси лимфоцитов женщин и детей двукратно отмывались раствором Хэнкса (ООО «Диаэм», Москва). Для этого по 1000 мкл раствора Хэнкса добавлялось в пробирки с лимфоцитами женщин и детей, и центрифугировались 10 минут при 1500 g. После центрифугирования надосадочная жидкость убиралась. Далее во все монокультуры с минимальным количеством раствора Хенкса (среднее содержание лимфоцитов было 3 млн клеток в 25 мкл раствора Хенкса) для первичного окрашивания лимфоцитов добавлялись 5 мкл раствора моноклональных антител к молекуле CD45, конъюгированными с флуоресцентным красителем перидинин-хлорофиллом 7 (PС-7, BioLegend, США). Инкубация проводилась в течение 15 минут при комнатной температуре в темноте, после которой выполнялась однократная отмывка лимфоцитов раствором Хенкса от несвязанных антител. После отмывки в пробирки с детскими и женские монокультурами добавлялось 800 мкл полной среды (RPMI-1640 (Sigma-Aldrich, США), с 2 ммолями L-глютамином (Panreac, Испания), с 10 ммолями Нереs-буфера (Sigma-Aldrich, США), с 5 × 10-5 молями 2-меркаптоэтанола (Biochem, Франция) и с 50 мкг/мл раствором гентамицина-сульфата (ООО «Ветинтерфарм», Россия).
Рисунок 5. Протокол проточной цитофлуометрии для анализа экспрессии молекул HLA-G и HLA-DR на лимфоцитах женщин и детей в полной среде (сбор клеток прекращался при достижении 10 000 лимфоцитов по гейту SSC-A/CD45 PC-7A)
Figure 5. Flow cytometry protocol for analyzing the expression of HLA-G and HLA-DR molecules on lymphocytes from women and children in complete medium (cell collection stopped when reaching 10,000 lymphocytes using the SSC-A/CD45 PC-7A gate)
Далее выполнялся подход cross-match согласно патенту Российской Федерации «Способ определения антител к HLA-G» [5].
Для каждой детской и женской монокультуры готовилось по восемь пробирок для проточного цитофлуориметра Beckman Coulter (США), в четырех из которых оценивалась экспрессия HLA-G, а в следующих четырех – экспрессия HLA-DR. В каждую пробирку вносилось по 100 мкл клеточной взвеси (350 тысяч клеток в полной среде). Далее, в первую и пятую пробирки добавлялись по 100 мкл полной среды (контрольные пробы), во вторую и шестую пробирки вносились по 100 мкл аутогенной сыворотки крови для женских монокультур и аллогенных материнских сывороток для детских монокультур, в третью и восьмую пробирки добавлялись 50 мкл ФГГ2 и 50 мкл полной среды, тем самым концентрация гамма-глобулина уравнивалась с сывороткой периферической крови. Соответственно, для уравнивания концентраций гамма-глобулинов с периферической кровью в четвертую и девятую пробирки вносились по 30 мкл ИГЧ1 и по 70 мкл полной среды. Все пробирки инкубировались в термостате при 37 градусов Цельсия в течение 30 минут.
После окончания инкубации проводилась однократная отмывка лимфоцитов каждой пробирки раствором Хенкса, по вышеописанной методике. После однократной отмывки выполнялось окрашивание лимфоцитов в каждой монокультуре как в полной среде, так и в среде с добавлением аллогенных, аутогенных сывороток, с ФГГ2 и ИГЧ1 с помощью коньюгированных моноклональных антител (МКАТ). В пробирки, где оценивалась экспрессия HLA-G, добавлялись 3 мкл с МКАТ к молекуле CD3 коньюгированные с флуорисцеин изотиоцианат (FITC) и 3 мкл с МКАТ к молекуле HLA-G коньюгированные с алофикоцианин (APC) (BioLegend, США). Соответственно, в пробирки, где оценивалась экспрессия HLA-DR, добавлялись МКАТ в тех же соотношения, но вместо МКАТ к HLA-G добавлялся МКАТ к HLA-DR, также коньюгированный с APC (BioLegend, США). Объем антител к количеству лимфоцитов, время и температура инкубаций соответствовали прилагаемым инструкциям к каждому конъюгированному моноклональному антителу. Инкубирование проводились в течение 15 минут при комнатной температуре в темноте.
С учетом перекрестного реагирования с молекулами HLA-G и HLA-DR антител, содержащих в аллогенных, аутогенных сыворотках, а также в ФГГ2 и ИГЧ1 оценили концентрацию гамма-глобулинов в растворах моноклональных антител и в добавляемых иммунобиологических материалах. Так, из раствора специфических МКАТ добавлялось на 300 тысяч клеток 1,5 мкг антител; а из сыворотки крови и из препаратов иммуноглобулина на это же количество клеток добавлялось около 1000 мкг гамма-глобулина, что могло быть достаточным для частичного закрытия антигенных детерминант анализируемых молекул на лимфоцитах.
После окончания инкубации с МКАТ проводилась отмывка лимфоцитов раствором Хенкса по описанной выше методике. Однократный раствор OptiLyse (Beckman Сoulter, США) добавлялся по 200 мкл в каждую пробирку для фиксации антител на лимфоцитах в монокультурах.
Особенности экспрессии HLA-G и HLA-DR на различных субпопуляциях лимфоцитов женщин и детей, а также влияние на этот процесс аутогенных и аллогенных сывороток и гамма-глобулиновых препаратов крови человека были оценены с помощью протокола проточной цитофлуориметрии для CytoFlex (Beckman Coulter, США).
Протокол включал несколько последовательных этапов для каждой монокультуры, инкубированных в полной среде и в среде с добавлением аллогенных, аутогенных сывороток крови, а также с ФГГ2 и ИГЧ1.
Первый этап был связан с выделением в первой гистограмме популяции лимфоцитов по их размерным характеристикам (прямое (малоугловое) светорассеяние – forward scatter – FSL) и по внутриклеточной плотности (боковое светорассеяние – side scatter – SSL).
В следующей гистограмме пул лимфоцитов был дополнительно кластеризован по общему лейкоцитарному маркеру CD45 (CD45-PC7) и внутриклеточной плотности (SSL).
Третья гистограмма была для этого исследования основной. Именно в ней анализировались выделенные лимфоциты по фенотипам: CD3+/ HLA-G+, CD3-/HLA-G+ и CD3+/ HLA- DR+, CD3-/HLA-DR+, а также CD45+/HLA-G+, CD45+/ HLA-DR+. Анализ этих субпопуляций лимфоцитов проводился во всех монокультурах как в полной среде, так и с добавлением аутогенных, аллогенных сывороток крови и с ФГГ2, ИГЧ1 (рис. 5, см. 3-ю стр. обложки).
По различию экспрессии HLA-G и HLA-DR на различных субпопуляциях женских и детских лимфоцитов в полной среде и в среде с добавлением аллогенных, аутогенных сывороток крови и с ФГГ2 и ИГЧ1, соответственно, определяли их эффект. Если в среде с той или иной сывороткой крови или с ФГГ2 и ИГЧ1 экспрессия HLA-G и HLA-DR на соответствующей субпопуляции лимфоцитов была ниже, чем в полной среде, то эффект данного иммунобиологического материала считался блокирующим. В том случае, если в среде с сывороткой крови или с ФГГ2 и ИГЧ1 экспрессия молекул HLA-G и HLA-DR на соответствующей субпопуляции лимфоцитов была выше, чем в полной среде, то эффект данной сыворотки считался активирующим. Для количественной оценки эффектов сывороток крови и ФГГ2, ИГЧ1 использовали формулу:
Изменение экспрессии HLA-G или HLA-DR в % = ((количество клеток с молекулами HLA-G или HLA-DR в среде с сывороткой крови или с ФГГ2, ИГЧ1 – количество клеток с молекулами HLA-G или HLA-DR в полной среде)/количество клеток с молекулами HLA-G или HLA-DR в полной среде) × 100%.
Оценка эффекта выделенной фракции гамма-глобулина
На первом этапе исследования провели сравнение эффектов активации и блокирования экспрессии HLA-G и HLA-DR на лимфоцитах женщин основной и контрольной групп под воздействием аутогенной сыворотки и ФГГ2, ИГЧ1. Данные представлены в таблице 1. Как видно из таблицы, аутогенная женская сыворотка обладала блокирующим эффектом на субпопуляции лимфоцитов CD3-, HLA-G+ и CD3+, HLA-G+ в контрольной группе и, напротив, активирующим эффектом – в основной группе (женщины, имеющие детей с ВПС). По этим показателям получены значимые различия между группами. Соответственно, в коммерческом лечебном иммуноглобулине для внутривенного введения (ИГЧ1) и в полученной концентрированной гамма-глобулиновой фракции (ФГГ2) эти антитела присутствовали. Так, из таблицы 1 видно, что ИГЧ1 и ФГГ2 оказывали блокирующий эффект на все субпопуляции женских лимфоцитов, экспрессирующих HLA-G, в основной и контрольной группах. Причем эффект данных препаратов был сопоставим с эффектом аутогенной сыворотки для женских лимфоцитов CD3-, HLA-G+ в контрольной группе. Все женщины этой группы имели только условно-здоровых детей (без ВПС). Для данной субпопуляции в основной группе эффект ИГЧ1 и ФГГ2 значимо отличался от влияния на экспрессию HLA-G женской аутогенной сыворотки (табл. 1).
ТАБЛИЦА 1. ЭФФЕКТЫ ИММУНОБИОЛОГИЧЕСКИХ ПРЕПАРАТОВ (АУТОГЕННАЯ СЫВОРОТКА, ФГГ2, ИГЧ1) НА ИЗМЕНЕНИЯ ЭКСПРЕССИИ МОЛЕКУЛ HLA-G В ОСНОВНОЙ И КОНТРОЛЬНОЙ ГРУППАХ ЖЕНЩИН
TABLE 1. EFFECTS OF IMMUNOBIOLOGICAL PREPARATIONS (AUTOGENOUS SERUM, FGG2, HIG1) ON CHANGES IN THE EXPRESSION OF HLA-G MOLECULES IN THE MAIN AND CONTROL GROUPS OF WOMEN
Эффекты иммунобиологических препаратов Effects of immunobiological preparations | Женщины контрольной группы Women in the control group | Женщины основной группы (дети с ВПС) Women of the main group (children with CHD) | p | ||||
Me | Q0,25 | Q0,75 | Me | Q0,25 | Q0,75 | ||
Изменение экспрессии CD3-, HLA-G, аутогенная сыворотка, % Change in expression of CD3-, HLA-G, autogenous serum, % | -34,24 | -74,71 | 6,22 | 78,18 | 45,07 | 111,297 | 0,001 |
Изменение экспрессии CD3-, HLA-G, ИГЧ1, % Change in CD3-, HLA-G, HIG1 expression, % | -11,72 | -36,79 | 13,36 | -7,42 | -21,53 | 6,693 | > 0,05 |
Изменение экспрессии CD3-, HLA-G, ФГГ2, % Change in CD3-, HLA-G, FGG2 expression, % | -12,76 | -45,33 | 23,81 | -10,67 | -19,31 | 30,644 | > 0,05 |
P ауто/ИГЧ1 P auto/HIG1 | > 0,05 | 0,009 | p | ||||
P ауто/ФГГ2 P auto/FGG2 | > 0,05 | 0,003 | |||||
Изменение экспрессии CD3+, HLA-G, аутогенная сыворотка, % Change in expression of CD3+, HLA-G, autogenous serum, % | -35,59 | -54,73 | -16,46 | 45,72 | 22,47 | 68,97 | 0,001 |
Изменение экспрессии CD3+, HLA-G, ИГЧ1, % Change in expression of CD3+, HLA-G, HIG1, % | -3,82 | -21,15 | 16,78 | -0,71 | -19,67 | 21,09 | > 0,05 |
Изменение экспрессии CD3+, HLA-G, ФГГ2, % Change in expression of CD3+, HLA-G, FGG2, % | -12,67 | -36,69 | 10,02 | -2,01 | -18,04 | 14,03 | > 0,05 |
P ауто/ИГЧ1 P auto/HIG1 | 0,042 | 0,019 | |||||
P ауто/ФГГ2 P auto/FGG2 | > 0,05 | 0,011 | |||||
Примечание. Ауто – аутогенная сыворотка.
Note. Auto, autogenous serum.
В таблице 2 представлен анализ эффектов аутогенной сыворотки, ФГГ2 и ИГЧ1 в отношении молекул HLA-DR в основной и контрольной группах. Как видно из таблицы, аутогенная женская сыворотка обладала тем же блокирующим эффектом в отношении HLA-DR на анализируемых субпопуляции лимфоцитов CD3-, HLA-DR+ и CD3+, HLA-DR+ в контрольной группе, как и для HLA-G. По данным показателям, между контрольной и основной группой были получены значимые различия. В основной группе женская аутогенная сыворотка, также проявляла активирующий эффект по отношению к экспрессии молекулы HLA-DR. Анализ эффективности ИГЧ1 и ФГГ2 по отношению к HLA-DR значимо различался с эффектом аутогенной сыворотки. Так, ИГЧ1 обладал блокирующим эффектом на экспрессию HLA-DR в контрольной группе для двух анализируемых субпопуляций: CD3-, HLA- DR+ и CD3+, HLA-DR+. И, напротив, его эффект стремился к нулю в основной группе. Если принять во внимание, что протекция ВПС связана с блокирующим эффектом экспрессии HLA-DR аутогенной сывороткой, то активности ИГЧ1 недостаточно для этой протекции. В то же время, ФГГ2 проявлял блокирующий эффект в отношении экспрессии HLA-DR на субпопуляциях лимфоцитов CD3-, HLA-DR+ и CD3+, HLA- DR+ как в контрольной, так и в основной группах. По этому свойству получены значимые различия для двух анализируемых субпопуляций лимфоцитов между аутогенной сывороткой в основной группе (табл. 2). Соответственно, протективный эффект в отношении риска формирования ВПС для полученного препарата гамма-глобулиновой фракции значимо выше, чем для коммерческого лечебного иммуноглобулина для внутривенного введения.
ТАБЛИЦА 2. ЭФФЕКТЫ ИММУНОБИОЛОГИЧЕСКИХ ПРЕПАРАТОВ (АУТОГЕННАЯ СЫВОРОТКА, ФГГ2, ИГЧ1) НА ИЗМЕНЕНИЯ ЭКСПРЕССИИ МОЛЕКУЛ HLA-DR В ОСНОВНОЙ И КОНТРОЛЬНОЙ ГРУППАХ ЖЕНЩИН
TABLE 2. EFFECTS OF IMMUNOBIOLOGICAL PREPARATIONS (AUTOGENOUS SERUM, FGG2, HIG1) ON CHANGES IN THE EXPRESSION OF HLA-DR MOLECULES IN THE MAIN AND CONTROL GROUPS OF WOMEN
Эффекты иммунобиологических препаратов Effects of immunobiological preparations | Женщины контрольной группы Women in the control group | Женщины основной группы (дети с ВПС) Women of the main group (children with CHD) | p | ||||
Me | Q0,25 | Q0,75 | Me | Q0,25 | Q0,75 | ||
Изменение экспрессии CD3-, HLA-DR, аутогенная сыворотка, % Change in CD3-, HLA-DR expression, autogenous serum, % | -15,21 | -38,83 | 6,41 | 30,89 | 13,46 | 48,32 | 0,011 |
Изменение экспрессии CD3-, HLA-DR, ИГЧ1, % Change in CD3-, HLA-DR, HIG1 expression, % | -24,19 | -42,18 | -6,20 | 8,66 | -6,22 | 21,55 | 0,019 |
Изменение экспрессии CD3-, HLA-DR, ФГГ2, % Change in CD3-, HLA-DR, FGG2 expression, % | -30,67 | -52,23 | -9,12 | -11,47 | -26,78 | -0,84 | > 0,05 |
P ауто/ИГЧ1 P auto/HIG1 | > 0,05 | > 0,05 | p | ||||
P ауто/ФГГ2 P auto/FGG2 | > 0,05 | 0,004 | |||||
Изменение экспрессии CD3+, HLA-DR, аутогенная сыворотка, % Change in expression of CD3+, HLA-DR, autogenous serum, % | -46,95 | -56,05 | -37,85 | 8,68 | -10,63 | 28,00 | 0,001 |
Изменение экспрессии CD3+, HLA-DR, ИГЧ1, % Change in expression of CD3+, HLA-DR, HIG1, % | -15,88 | -18,76 | -12,99 | 4,49 | -13,68 | 21,67 | 0,041 |
Изменение экспрессии CD3+, HLA-DR, ФГГ2, % Change in expression of CD3+, HLA-DR, FGG2, % | -22,36 | -37,09 | -2,38 | -10,52 | -19,70 | -1,35 | > 0,05 |
P ауто/ИГЧ1 P auto/HIG1 | > 0,05 | > 0,05 | |||||
P ауто/ФГГ2 P auto/FGG2 | > 0,05 | 0,023 | |||||
Примечание. Ауто – аутогенная сыворотка.
Note. Auto, autogenous serum.
Следующим этапом исследования было сравнение эффектов ФГГ2 и ИГЧ1 с аллогенным влиянием материнской сыворотки крови на экспрессию молекул HLA-G и HLA-DR на детских лимфоцитах основной и контрольной групп. В таблице 3 представлены данные об эффектах в отношении экспрессии молекулы HLA-G. Как видно из таблицы, эффект аллогенной сыворотки был схож с эффектом аутогенной сыворотки. То есть в двух анализируемых субпопуляциях лимфоцитов в контрольной группе аллогенная сыворотка оказывала блокирующий эффект на экспрессию HLA-G, а в основной группе – активирующий.
ТАБЛИЦА 3. ЭФФЕКТЫ ИММУНОБИОЛОГИЧЕСКИХ ПРЕПАРАТОВ (МАТЕРИНСКАЯ АЛЛОГЕННАЯ СЫВОРОТКА, ФГГ2, ИГЧ1) НА ИЗМЕНЕНИЯ ЭКСПРЕССИИ МОЛЕКУЛ HLA-G В ОСНОВНОЙ И КОНТРОЛЬНОЙ ГРУППАХ ДЕТЕЙ
TABLE 3. EFFECTS OF IMMUNOBIOLOGICAL PREPARATIONS (MATERNAL ALLOGENEIC SERUM, FGG2, HIG1) ON CHANGES IN THE EXPRESSION OF HLA-G MOLECULES IN THE MAIN AND CONTROL GROUPS OF CHILDREN
Эффекты иммунобиологических препаратов Effects of immunobiological preparations | Дети контрольной группы Children of the control group | Дети основной группы (с ВПС) Children of the main group (with CHD) | p | ||||
Me | Q0,25 | Q0,75 | Me | Q0,25 | Q0,75 | ||
Изменение экспрессии CD3-, HLA-G, аллогенная сыворотка, % Change in expression of CD3-, HLA-G, allogeneic serum, % | -44,19 | -72,70 | -15,68 | 143,72 | 95,31 | 192,14 | < 0,001 |
Изменение экспрессии CD3-, HLA-G, ИГЧ1, % Change in CD3-, HLA-G, HIG1 expression, % | -56,62 | -88,23 | -37,01 | 17,71 | -8,20 | 43,62 | 0,024 |
Изменение экспрессии CD3-, HLA-G, ФГГ2, % Change in CD3-, HLA-G, FGG2 expression, % | -18,62 | -62,93 | 45,69 | 11,67 | -7,07 | 30,42 | > 0,05 |
P алло/ИГЧ1 P allo/HIG1 | > 0,05 | 0,031 | p | ||||
P алло/ФГГ2 P allo/FGG2 | > 0,05 | 0,027 | |||||
Изменение экспрессии CD3+, HLA-G, аллогенная сыворотка Changes in the expression of CD3+, HLA-G, allogeneic serum | -41,40 | -85,93 | 3,13 | 44,03 | 18,12 | 69,94 | 0,023 |
Изменение экспрессии CD3+, HLA-G, ИГЧ1 Changes in the expression of CD3+, HLA-G, HIG1 | -75,45 | -83,28 | -67,61 | 15,39 | -3,71 | 37,07 | 0,009 |
Изменение экспрессии CD3+, HLA-G, ФГГ2 Changes in the expression of CD3+, HLA-G, FGG2 | -65,72 | -87,83 | -43,61 | 12,45 | -3,45 | 28,36 | 0,017 |
P алло/ИГЧ1 P allo/HIG1 | > 0,05 | > 0,05 | |||||
P алло/ФГГ2 P allo/FGG2 | > 0,05 | > 0,05 | |||||
Примечание. Алло – аллогенная сыворотка.
Note. Allo, allogeneic serum.
ТАБЛИЦА 4. ЭФФЕКТЫ ИММУНОБИОЛОГИЧЕСКИХ ПРЕПАРАТОВ (МАТЕРИНСКАЯ АЛЛОГЕННАЯ СЫВОРОТКА, ФГГ2, ИГЧ1) НА ИЗМЕНЕНИЯ ЭКСПРЕССИИ МОЛЕКУЛ HLA-DR В ОСНОВНОЙ И КОНТРОЛЬНОЙ ГРУППАХ ДЕТЕЙ
TABLE 4. EFFECTS OF IMMUNOBIOLOGICAL PREPARATIONS (MATERNAL ALLOGENEIC SERUM, FGG2, HIG1) ON CHANGES IN THE EXPRESSION OF HLA-DR MOLECULES IN THE MAIN AND CONTROL GROUPS OF CHILDREN
Эффекты иммунобиологических препаратов Effects of immunobiological preparations | Дети контрольной группы Children of the control group | Дети основной группы (с ВПС) Children of the main group (with CHD) | p | ||||
Me | Q0,25 | Q0,75 | Me | Q0,25 | Q0,75 | ||
Изменение экспрессии CD3-, HLA-DR, аллогенная сыворотка, % Change in CD3-, HLA-DR expression, allogeneic serum, % | -21,51 | -24,96 | -18,06 | 36,44 | 15,93 | 56,95 | 0,025 |
Изменение экспрессии CD3-, HLA-DR, ИГЧ1, % Change in CD3-, HLA-DR, HIG1 expression, % | -15,49 | -19,29 | -11,68 | 2,30 | -9,54 | 14,14 | 0,046 |
Изменение экспрессии CD3-, HLA-DR, ФГГ2, % Change in CD3-, HLA-DR, FGG2 expression, % | -16,32 | -24,91 | -7,72 | -9,44 | -15,88 | -3,00 | > 0,05 |
P алло/ИГЧ1 P allo/HIG1 | > 0,05 | 0,048 | p | ||||
P алло/ФГГ2 P allo/FGG2 | > 0,05 | 0,027 | |||||
Изменение экспрессии CD3+, HLA-DR, аллогенная сыворотка Changes in CD3+, HLA-DR expression, allogeneic serum | -27,38 | -34,77 | -14,99 | -3,67 | -16,06 | 5,73 | 0,049 |
Изменение экспрессии CD3+, HLA-DR, ИГЧ1 Changes in the expression of CD3+, HLA-DR, HIG1 | -45,53 | -56,33 | -34,74 | -8,00 | -14,79 | -1,20 | 0,037 |
Изменение экспрессии CD3+, HLA-DR, ФГГ2 Changes in the expression of CD3+, HLA-DR, FGG2 | -51,59 | -56,71 | -46,48 | -24,65 | -31,28 | -18,02 | 0,045 |
P алло/ИГЧ1 P allo/HIG1 | > 0,05 | > 0,05 | |||||
P алло/ФГГ2 P allo/FGG2 | > 0,05 | > 0,05 | |||||
Примечание. Алло – аллогенная сыворотка.
Note. Allo, allogeneic serum.
В таблице 4 представлены данные об анализе эффектов аллогенной материнской сыворотки крови, ФГГ2 и ИГЧ1 на экспрессию HLA-DR в основной и контрольной группах. Как видно из таблицы, аллогенная сыворотка проявляла блокирующий эффект на экспрессию HLA-DR в двух анализируемых субпопуляциях лимфоцитов в контрольной группе. В то же время этот эффект отсутствовал в основной группе и был, напротив, активирующим для субпопуляции CD3-, HLA-DR+ лимфоцитов. На субпопуляцию CD3+, HLA-DR+ лимфоцитов материнская аллогенная сыворотка влияла слабым блокирующим эффектом, стремящемся к нулю. По этим эффектам основная группа значимо отличалась от группы контроля (табл. 2).
Обсуждение
Известно, что ген HLAG имеет низкий полиморфизм, поэтому практически у всех людей экспрессируется почти один и тот же белок [7]. В то же данная молекула является ключевой для ограничения иммунного воспаления в системе «мать-эмбрион/плод» и вынашивания беременности [13]. Доказано, что дефицит экспрессии HLA-G на клетках эмбриона и цитотрофобласта, а не генетический полиморфизм, ассоциирован с репродуктивными потерями [10]. Кроме того, показано, что молекула HLA-G экспрессируется не только на клетках вневорсинчатого цитотрофобласта, но и в половых путях, в крови беременных и небеременных женщин, в семенной жидкости, а также в предимплантированных эмбрионах [10]. Тем самым особенности экспрессии HLA-G в материнском микроокружении, в клетках эмбриона, могут быть значимыми в ограничении иммунного отторжения полуаллогенного эмбриона и провоспалительной компоненты патогенеза ВПС.
Доскональное понимание роли HLA-G как на женских Т-, так и на В-лимфоцитах, еще впереди, как и оценка значимости аутоиммунных регуляторных антител к этой молекуле. В то же время представленное исследование показывает наибольший блокирующий эффект по отношению к экспрессии HLA-G именно от ФГГ2, который сопоставим с аутогенной сывороткой женщин, родивших здоровых детей.
В отношении аллогенных или отцовских антител к HLA I и II классов при репродуктивных потерях и аномалий развития плода имеется достаточное количество научных исследований. Интерес к аллогенным антителам против HLA, индуцируемых во время беременности, не стихает с 80-х годов прошлого столетия [9]. Современные исследования на диагностических платформах LUMINEX подтверждают, что более 40% повторнородящих женщин имеют антитела против HLA I и II классов. Причем доказано, что удельный вес женщин, имеющих специфические антитела против отцовских HLA не превышает 20% из всей популяции. Соответственно, из когорты женщин, имеющих антитела к HLA, это будет 50% [14]. При репродуктивных потерях, а возможно, и при аномалиях развития плода, снижается как количество женщин, имеющих антитела к HLA I и II классов, так и их специфичность по отношению к отцовским HLA [14]. Неспецифические в отношении отцовских, а значит, и аллогенных эмбриональных/плодовых, HLA антитела не обладают блокирующим эффектом. Они могут быть триггерами в развитии воспалительных реакций в системе «мать-эмбрион/плод», и через это усиливать экспрессию молекул HLA I и II классов.
Тем самым аллоиммунные антитела к HLA- DR эмбриона/плода/ребенка являются значимыми регуляторными элементами как в отношении вынашивания беременности, так и для блокирования тератогенеза в сердечно-сосудистой системе.
Таким образом, в патогенез ВПС вносит вклад активирующий эффект факторов материнской аллогенной сыворотки (женских гуморальных факторов). Донорский иммуноглобулин человека может блокировать это патогенное воздействие женских гуморальных факторов. Причем у иммуноглобулина, полученного от многорожавших женщин, этот эффект выражен в большей степени, и тем самым он может претендовать не только на лечебный препарат аллогенных форм репродуктивных потерь, но и как иммунобиологический препарат, направленный для прегравидарной иммунной профилактики ВПС. Полученные результаты не противоречат основной концепции иммунологии репродукции и ограничения иммунного воспаления при сердечно-сосудистой патологии [1, 11].
Заключение
Блокирующая активность женской сыворотки по отношению к аутогенным (собственным) и аллогенным (эмбриона/плода/ребенка) молекулам HLA-G и HLA-DR определяет протективный эффект в отношении формировании ВПС в последующем поколении. Донорский иммуноглобулин человека обладает схожими блокирующими эффектами к этим молекулам, возможно, за счет наличия в нем аллоиммунных антител к HLA I и II классов. Фракция гамма-глобулина, полученная из донорской крови многорожавших женщин, обладает более выраженным блокирующим эффектом по отношению к экспрессии молекул HLA-G и HLA-DR. Тем самым данный иммунобиологический препарат может быть прототипом лечебного и профилактического средства, блокирующего патогенез врожденных пороков сердца.
About the authors
A. V. Shabaldin
Research Institute for Complex Issues of Cardiovascular Diseases
Email: cepoav1991@gmail.com
ORCID iD: 0000-0002-8785-7896
PhD, MD (Medicine), Associate Professor, Leading Research Associate, Laboratory of Heart Diseases
Russian Federation, 6 Sosnoviy Blvd, Kemerovo, 650002Anna Viktorovna Sinitskaya
Research Institute for Complex Issues of Cardiovascular Diseases
Author for correspondence.
Email: cepoav1991@gmail.com
ORCID iD: 0000-0002-4467-8732
PhD (Biology), Research Associate, Laboratory of Genomic Medicine
Russian Federation, 6 Sosnoviy Blvd, Kemerovo, 650002S. A. Shmulevich
Research Institute for Complex Issues of Cardiovascular Diseases
Email: cepoav1991@gmail.com
ORCID iD: 0000-0002-7316-2962
PhD (Medicine), Pediatric Cardiologist
Russian Federation, 6 Sosnoviy Blvd, Kemerovo, 650002E. O. Grishacheva
Research Institute for Complex Issues of Cardiovascular Diseases
Email: cepoav1991@gmail.com
Clinical Resident
Russian Federation, 6 Sosnoviy Blvd, Kemerovo, 650002E. V. Shabaldina
Kemerovo State Medical University
Email: cepoav1991@gmail.com
ORCID iD: 0000-0002-0450-2767
PhD, MD (Medicine), Head, Department of Otorhinolaryngology
Russian Federation, KemerovoN. S. Deeva
Research Institute for Complex Issues of Cardiovascular Diseases
Email: cepoav1991@gmail.com
ORCID iD: 0000-0002-6162-4808
Cardiologist
Russian Federation, 6 Sosnoviy Blvd, Kemerovo, 650002References
- Борисенко Д.В., Ивкин А.А., Шукевич Д.Л. Современные методы ограничения системного воспалительного ответа при коррекции врожденных пороков сердца у детей в условиях искусственного кровообращения // Комплексные проблемы сердечно-сосудистых заболеваний, 2021. Т.10, № 2. С. 113-124. [Borisenko D.V., Ivkin A.A., Shukevich D.L. Treatment of systemic inflammatory response syndrome following on-pump pediatric congenital heart surgery. Kompleksnye problemy serdechno-sosudistykh zabolevaniy = Complex Issues of Cardiovascular Diseases, 2021, Vol. 10, no. 2, pp. 113-124. (In Russ.)]
- Дубоссарская З.М., Дубоссарская Ю.А. Основные вопросы иммунологии репродукции // Медицинские аспекты здоровья женщины, 2010. Т. 31, № 4. С. 15-21. [Dubossarskaya Z.M., Dubossarskaya Yu.A. Basic issues of reproduction immunology. Meditsinskie aspekty zdorovya zhenshchiny = Medical Aspects of Women’s Health, 2010, Vol. 31, no. 4, pp. 15-21. (In Russ.)]
- Есина Е.В., Логина Н.Ю., Аляутдина О.С. Роль иммунных взаимодействий в развитии бесплодия: обзор литературы // Российский медицинский журнал. Мать и дитя, 2013. Т. 21, № 1. С. 44-48. [Esina E.V., Logina N.Yu., Alyautdina O.S. The role of immune interactions in the development of infertility: a literature review. Rossiyskiy meditsinskiy zhurnal. Mat i ditya = Russian Medical Journal. Mother and Child, 2013, Vol. 21, no. 1, pp. 44-48. (In Russ.)]
- Романенко Н.А., Бессмельцев С.С., Чечёткин А.В. Коррекция иммунного статуса пациентов иммуноглобулином человека для внутривенного введения // Казанский медицинский журнал, 2017. Т. 5. С. 775-783. [Romanenko N.A., Bessmeltsev S.S., Chechetkin A.V. Orrection of patients’ immune status with human intravenous immunoglobulin. Kazanskiy meditsinskiy zhurnal = Kazan Medical Journal, 2017, Vol. 5, pp. 775-783. (In Russ.)]
- Способ определения антител к аллогенным HLA-G. Шабалдин А.В., Мозес В.Г., Беленкова О.В., Шабалдина Е.В. Патент на изобретение RU 2585091 C1, 27.05.2016. Заявка № 2015101526/15 от 19.01.2015. [Method for determination of antibodies to allogeneic HLA-G. Shabaldin A.V., Mozes V.G., Belenkova O.V., Shabaldina E.V. Patent for invention RU 2585091 C1, May 27, 2016. Application No. 2015101526/15 dated 01/19/2015.
- Шабалдин А.В., Гривцова С.В., Деева Н.С., Шмулевич С.А., Цепокина А.В., Аникеенко А.А., Шабалдина Е.В., Вавин Г.В. Изменение экспрессии HLA-DR на субпопуляциях лимфоцитов супругов, имеющих детей со спорадическими врожденными пороками сердца без хромосомных заболеваний, под воздействием женской аутосыворотки // Медицинская иммунология, 2021. Т. 23, № 1. С. 143-148. [Shabaldin A.V., Grivtsova S.V., Deeva N.S., Shmulevich S.A., Tsepokina A.V., Anikeenko A.A., Shabaldina E.V., Vavin G.V. Changes in the expression of HLA-DR on lymphocyte subpopulations of spouses having children with sporadic congenital heart defects without chromosomal diseases, under the influence of female’s autoserum. Meditsinskaya immunologiya = Medical Immunology (Russia), 2021, Vol. 23, no. 1, pp. 143-148. (In Russ.)] doi: 10.15789/1563-0625-CIT-2013.
- Шабалдин А.В., Деева Н.С., Сухих А.С., Изменение экспрессии мембранных молекул HLA-G у женщин, имеющих детей с врожденными пороками сердца, под воздействием фракции гамма-глобулинов, полученной из плазмы крови многорожавших женщин // Российский иммунологический журнал, 2021. Т. 24, № 3. C. 373-376. [Shabaldin A.V., Deeva N.S., Sukhikh А.S. Altered expression of cell membrane HLA-G molecules in mothers of children with inborn heart defects upon exposure to plasma gamma-globulin from multiparous women. Rossiyskiy immunologicheskiy zhurnal = Russian Journal of Immunology, 2021, Vol. 24, no. 3, pp. 373-376. (In Russ.)] doi: 10.46235/1028-7221-987-AEO.
- Chen L., Guan J., Wei Q., Yuan Z., Zhang M. Potential role of “omics” technique in prenatal diagnosis of congenital heart defects. Clin. Chim. Acta, 2018, Vol. 482, pp. 185-190.
- Densmore T.L., Tim Goodnough L., Ali S., Dynis M., Chaplin H. Prevalence of HLA sensitization in female apheresis donors. Transfusion, 1999, Vol. 39, no. 1, pp. 103-106.
- Lynge Nilsson L., Djurisic S., Hviid T.V.F. Controlling the immunological crosstalk during conception and pregnancy: HLA-G in reproduction. Front. Immunol., 2014, Vol. 5, 198. doi: 10.3389/fimmu.2014.00198.
- Mulder A., Kardol M.J., Kamp J., Uit Het Broek C., Schreuder G.M., Doxiadis I.I., Claas F.H. Determination of the frequency of HLA antibody secreting B-lymphocytes in alloantigen sensitized individuals. Clin. Exp. Immunol., 2001, Vol. 124, no. 1, pp. 9-15.
- Nyborg K.M., Kolte A.M., Larsen E.C., Christiansen O.B. Immunomodulatory treatment with intravenous immunoglobulin and prednisone in patients with recurrent miscarriage and implantation failure after in vitro fertilization/intracytoplasmic sperm injection. Fertil. Steril., 2014, Vol. 102, no. 6, pp. 1650-1655.
- Persson G., Jørgensen N., Nilsson L.L., Andersen L.H.J., Hviid T.V.F. A role for both HLA-F and HLA-G in reproduction and during pregnancy? Hum. Immunol., 2020, Vol. 81, no. 4, pp. 127-133.
- Prieto-Casal F., Cabañas-Gadea C., Figueredo-López S., Villagra-Carrón V. Fetomaternal immunization against HLA antigens in women from a Paraguayan population. Mem. Inst. Investig. Cienc. Salud., 2021, Vol. 19, no. 1, pp. 48-57.
- Shabaldin A.V., Shmulevich S.A., Chistyakova G.N., Remizova I.I., Lukoyanycheva E.B., Gorshkova S.V., Shabaldina E.V. Peculiarities of allogenic interactions in the short-term culture of lymphocytes of spouses who have children with congenital heart diseases or early reproductive losses. Medical Immunology (Russia), 2016, Vol. 21, no. 2, pp. 279-292. doi: 10.15789/1563-0625-2019-2-279-292.
- Wu Q.Y. To promote the sustainable development of surgical treatment for congenital heart disease by innovation and practice. Zhonghua Wai Ke Za Zhi. 2018, Vol. 56, no. 6, pp. 407-409.
Supplementary files








