Therapeutic effect of a new immunotropic composition tested in the model of periodontitis in experimental animals
- Authors: Khlystova K.A.1, Chumakov N.S.1, Sarkisyan N.G.1,2, Kataeva N.N.2, Drozdova L.I.3, Tuzankina I.A.1
-
Affiliations:
- Institute of Immunology and Physiology, Ural Branch of the Russian Academy of Sciences
- Ural State Medical University
- Ural State Agrarian University
- Issue: Vol 26, No 4 (2023)
- Pages: 463-470
- Section: Forum Sochi 2023
- Submitted: 04.07.2023
- Accepted: 12.07.2023
- Published: 22.09.2023
- URL: https://rusimmun.ru/jour/article/view/13532
- DOI: https://doi.org/10.46235/1028-7221-13532-TEO
- ID: 13532
Cite item
Full Text
Abstract
The article deals with usage of a novel immunotropic drug composition in experimental model of periodontitis. The composition contains silicoorganic glycerogel, exhibits broad spectrum of action upon the etiological pathogen. A good therapeutic effect was revealed by clinical, laboratory and histological criteria. Histology showed absence of osteoclasts, reduced lacunas, higher density and normalization of tissue structures, recovery of microcirculation, angiogenesis and formation of granulation tissues. However, the phosphorus-to-calcium ratio in the group supplied with peroral vitamin D treatment, was characterized by significant decrease in alkaline phosphatase and inorganic phosphorus thus confirming efficiency of complex topical effect of the given composition and vitamin D.
Full Text
Введение
С развитием современных медицинских технологий все более актуальной становится разработка новых методов терапевтического лечения инфекционных заболеваний. Быстрое развитие антибиотикорезистентности оказывает свое, не менее важное, влияние на решение данной задачи [9]. Пародонтит – одна из острых проблем в стоматологии, что обусловлено склонностью данного заболевания к хронизации [1]. Процесс лечения требует не только высокой компетентности врача, но и ответственности пациента за соблюдение соответствующих рекомендаций. Поскольку пародонтит непосредственно проявляется убылью костной ткани альвеолярного отростка челюсти, терапевтическое лечение данного заболевания направлено на замедление или же приостановление развития атрофии кости, также возможна хирургическая коррекция дефекта кости. Наличие общесоматических патологий несомненно влияет на тяжесть течения заболевания, а также на результативность проводимого лечения [5].
Классические методы лечения пародонта могут быть малоэффективны в случае дефицита витамина D3 у пациентов [18]. Витамин D и его активные метаболиты являются компонентами гормональной регуляции фосфорно-кальциевого обмена и оказывают как гомеостатической эффект на фосфорно-кальциевый обмен, так и способствуют минерализации кости. Это особенно важно, так как хронический пародонтит сопровождается резорбцией костной ткани. Ввиду этого, подход к диагностике и терапии хронического пародонтита должен быть комплексным, необходимо учитывать результаты лабораторного анализа крови на содержание Ca и витамина D3 и, в случае необходимости, включать в протоколы лечения препараты, восполняющие дефицит кальция и витамина D3.
Традиционно в профилактике и лечении заболеваний пародонта используются антибактериальные, противовоспалительные и другие препараты [3, 4, 10]. С ростом устойчивости патогенных микроорганизмов к подобным препаратам актуальной остается задача подбора новых высокоэффективных лекарственных композиций. На сегодняшний день синтетические пептиды активно используются для создания различных лекарственных форм [13, 17]. Например, синтетический пептид ZP2 активного центра гранулоцитарно-макрофагального колониестимулирующего фактора, обладающий иммунтропной активностью [6], в составе Ацеграм-спрея он успешно применялся в схеме лечения хронического генерализованного пародонтита [11, 12]. Для улучшения терапевтического действия основного действующего вещества возможно создание топической смеси с добавлением кремнийорганического глицерогидрогеля, обладающего транскутанной активностью [7, 14, 16].
Цель исследования – оценить терапевтический эффект нового метода лечения пародонтита, включающего пероральное введение витамина D3 и топическую иммунотропную композицию на основе антимикробного пептида ZP2.
Материалы и методы
На первом этапе создавали модель хронического пародонтита с сопутствующим стероидным остеопорозом у 14 лабораторных крыс линии Wistar – самки в возрасте 2-2,5 месяцев, средним весом 220-320 гр. Животные содержались на базе Института иммунологии и физиологии Уральского отделения Российской академии наук (ФГБУН ИИФ УрО РАН, г. Екатеринбург) в соответствии с требованиями ГОСТ Р от 02.12.2009 53434-2009 «Принципы надлежащей лабораторной практики». Модель хронического пародонтита воссоздавалась согласно патенту РФ № 2545923, и представляла собой введение в периодонтальное пространство центрального нижнего резца цельнометаллической иглы длиной 12 мм под эфирным наркозом, с последующим извлечением на 26-й день [8, 15]. Кроме того, в рамках данной модели для снижения реактивности организма животных применяли преднизолон (4,8 мг, внутримышечно, ежедневно) – глюкокортикоид, угнетающий образование костной ткани, усиливающий ее резорбцию на фоне уменьшения концентрации кальция в крови, что вызывает в свою очередь вторичную гиперфункцию паращитовидных желез, одновременную стимуляцию остеокластов и ингибирование активности остеобластов. Известно, что препарат обладает иммуносупрессивным действием, в основе которого – угнетение пролиферации лимфоцитов (в первую очередь Т-лимфоцитов), подавление миграции В-лимфоцитов и кооперативного взаимодействия Т- и В-клеток. Преднизолон снижает количество высвобождаемых цитокинов (интерлейкинов 1 и 2, γ-интерферона), уменьшает продукцию антител [2].
На втором этапе, после извлечения иглы и прекращения инъекций преднизолона, все особи были разделены на 2 группы по 7 самок. Далее, каждый день в течение двух недель производилось лечение крыс. Группа I – путем аппликации на десну композиции состава: глицерогидрогель кремния, антимикробный пептид ZP2, гидроксиапатит; группа II – пероральное введение витамина D3 по одной капле в момент нанесения на десну композиции аналогичного (как для I группы крыс) состава.
На стадии заболевания и после завершении лечения, непосредственно перед выведением особей из эксперимента, были проведены лабораторные исследования крови: общий анализ крови, кальций общий, щелочная фосфатаза и неорганический фосфор.
Статистический анализ проводился с использованием программы StatTech v. 3.1.6 (разработчик – ООО «Статтех», Россия). Количественные показатели оценивались на предмет соответствия нормальному распределению с помощью критерия Шапиро–Уилка (при числе исследуемых менее 50) или критерия Колмогорова–Смирнова (при числе исследуемых более 50). Количественные показатели, имеющие нормальное распределение, описывались с помощью средних арифметических величин (M) и стандартных отклонений (SD), границ 95% доверительного интервала (95% ДИ). В случае отсутствия нормального распределения количественные данные описывались с помощью медианы (Me) и нижнего и верхнего квартилей (Q0,25-Q0,75). Сравнение двух групп по количественному показателю, имеющему нормальное распределение, при условии равенства дисперсий выполнялось с помощью t-критерия Стьюдента. Сравнение двух групп по количественному показателю, распределение которого отличалось от нормального, выполнялось с помощью U-критерия Манна–Уитни.
Результаты и обсуждение
Оценка терапевтической эффективности композиции производилась на основании клинических, лабораторных и гистологических данных.
Анализ клинических и лабораторных результатов проводился в несколько этапов. На 21-й день формирования модели пародонтита у крыс были отмечены: гиперемия слизистой оболочки в области введения иглы, ее отек, выделение гнойного экссудата и формирование подвижности зуба. Особое внимание заслуживает тот факт, что у 5 особей из разных групп сравнения отмечалось формирование абсцессов в поднижнечелюстной области, на основании чего можно судить об активности протекания заболевания и снижении иммунного статуса у данных особей. Также было произведено лабораторное исследование, включающее общий анализ крови и биохимический анализ крови на щелочную фосфатазу, кальций и фосфор (см. табл. 1).
ТАБЛИЦА 1. СРЕДНИЕ РЕЗУЛЬТАТЫ АНАЛИЗА КРОВИ КРЫС НА ЭТАПЕ МОДЕЛИРОВАНИЯ ЗАБОЛЕВАНИЯ
TABLE 1. AVERAGE RESULTS OF BLOOD ANALYSIS OF RATS AT THE STAGE OF DISEASE MODELING
Показатели Indicators | WBC1, × 109/л WBC1, × 109/L | LYM2, % | NEUT3, % | HGB, % | PLT, × 109/л PLT, × 109/L |
Интактные животные Intact animals | 5,80±0,65 | 77±3 | 21±1 | 148,17±5,53 | 910,83±254,84 |
Животные с пародонтитом Animals with periodontitis | 4,50 ±0,16 | 59±6 | 39±6 | 153,50±8,48 | 660,33±168,71 |
Показатели Indicators | Щелочная фосфатаза, ед/л Alkaline phosphatase, u/L | Кальций4, ммоль/л Calcium4, mmol/L | Фосфор неорганический5, ммоль/л Phosphorus inorganic5, mmol/L | ||
Интактные животные Intact animals | 89,83±16,49 | 2,53±0,10 | 1,65 ±0,13 | ||
Животные с пародонтитом Animals with periodontitis | 138,67±54,49 | 3,05±0,45 | 7,70±0,71 | ||
Примечание. 1 – различия статистически значимые, используемый метод: U-критерий Манна–Уитни, p = 0,025; 2 – различия статистически значимые, используемый метод: t–критерий Стьюдента, p < 0,001; 3 – различия существенные, используемый метод: t-критерий Стьюдента, p < 0,001; 4 – различия статистически значимые, используемый метод: t-критерий Стьюдента, p = 0,021; 5 – различия существенные, используемый метод: U-критерий Манна–Уитни, p = 0,004.
Note. 1, differences are statistically significant, the method used is Mann–Whitney U-test, p = 0.025; 2, differences are statistically significant, the method used: Student’s t-test, p < 0.001; 3, significant differences, the method used: Student’s t-test, p < 0.001; 4, differences are statistically significant, the method used: Student’s t-test, p = 0.021; 5, significant differences, the method used: Mann–Whitney U-test, p = 0.004.
По результатам анализов наблюдается снижение средних показателей лейкоцитов и лимфоцитов от значений интактных особей (табл. 1). Такие изменения связаны с катаболическим действием глюкокортикостероидов и, как следствие, с дистрофическими изменениями в лимфоидной ткани. Уменьшение лимфоцитов в периферической крови является результатом их перехода из крови в лимфоидную ткань и накопления в костном мозге. Кроме того, после курса инъекций преднизолона наблюдается достоверное повышение уровня нейтрофилов (табл. 1), которое можно связать с возможными протекающими воспалительными процессами в организме животных. Повышенное содержание щелочной фосфатазы и изменение количественного соотношения Ca/P в строну увеличения фосфора (табл. 1) свидетельствует об активном выведении кальция из организма и подавлении процессов остеогенеза у экспериментальных животных с пародонтитом.
После получения подтверждения развития модели хронического пародонтита, было начато лечение каждой группы крыс. В группе 1 лечение проводилось путем аппликации композиций в зону воспалительного очага в течение двух недель. В группе 2 аппликация композиции сопровождалась пероральным введением витамина D3. В обеих экспериментальных группах крыс было отмечено улучшение клинических показателей (отсутствие кровоточивости, гиперемии маргинального края десны, а также отсутствие подвижности зубов и гноетечения). Согласно лабораторным данным, в группе, лечение которой сопровождалось введением витамина D3, отмечены различия в следующих показателях крови по сравнению с I группой: достоверное снижение количества щелочной фосфатазы и неорганического фосфора (табл. 2).
ТАБЛИЦА 2. СРЕДНИЕ РЕЗУЛЬТАТЫ АНАЛИЗА КРОВИ КРЫС I ГРУППЫ (ЛЕЧЕНИЕ: АППЛИКАЦИЯ НА ДЕСНУ) И II ГРУППЫ (ЛЕЧЕНИЕ: АППЛИКАЦИЯ НА ДЕСНУ + ВИТ. D3 ПЕРОРАЛЬНО) СРАВНЕНИЯ ПОСЛЕ ЛЕЧЕНИЯ
TABLE 2. MEAN BLOOD TEST RESULTS OF GROUP I (TREATMENT: GUM APPLICATION) AND GROUP II (TREATMENT: GUM APPLICATION + VITAMIN D3 ORAL) COMPARISON AFTER TREATMENT
Общий анализ крови1 Complete blood count1 | |||||
Показатели Indicators | WBC, × 109/л WBC, × 109/L | LYM, % | NEUT, % | HGB, % | PLT, × 109/л PLT × 109/L |
Группа I Group I | 5,0±1,7 | 65±11 | 33±12 | 42±5 | 820,00±96,75 |
Группа II Group II | 5,0±1,5 | 56±4 | 39±5 | 43±1 | 738,00±82,75 |
Биохимический анализ крови Blood chemistry | |||||
Показатели Indicators | Щелочная фосфатаза3, ед/л Alkaline phosphatase3, u/L | Кальций3, ммоль/л Calcium3, mmol/L | Фосфор неорганический2, ммоль/л Phosphorus inorganic2, mmol/L | ||
Группа I Group I | 141,33±48,00 | 3,07±0,35 | 5,50±0,17 | ||
Группа II Group II | 121,83±16,24 | 2,75±0,19 | 1,55±0,25 | ||
Примечание. 1 – различия статистически значимые, используемый метод: t-критерий Уэлча, p = 0,338; 2 – различия существенные, используемый метод: U-критерий Манна–Уитни, p = 0,004; 3 – различия статистически значимые, р < 0,5.
Note. 1, differences are statistically significant, the method used: Welch’s t-test, p = 0.338; 2, significant differences, the method used: Mann–Whitney U-test, p = 0.004; 3, differences are statistically significant, p < 0.5.
Положительный эффект лечения II группы крыс обусловлен тем, что активная форма витамина Д – 1,25(ОН)2D является основными регуляторами обмена кальция в организме наряду с паратиреоидным гормоном (ПТГ) и кальцитонином, при этом витамин Д оказывает на обмен кальция активирующее действие.
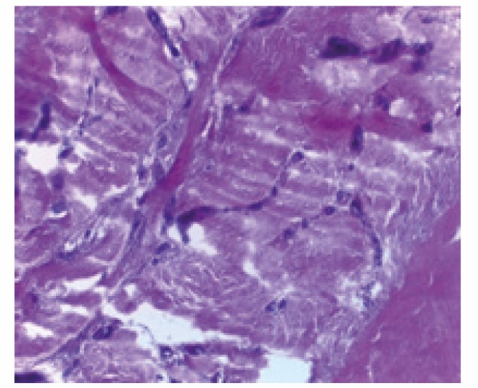
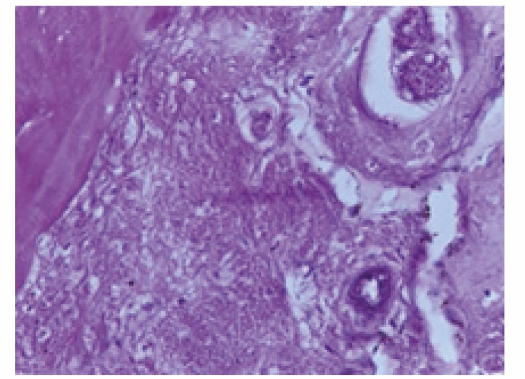
Гистологическое исследование костной ткани крыс I и II группы после лечения представлены на рисунках 1 и 2 (см. 2-ю стр. обложки). На фрагментах нижней челюсти животных, прослеживается положительная динамика восстановления костной ткани. Это проявляется в отсутствии остеокластов, уменьшении лакун, уплотнении и нормализации структуры ткани. Кроме того, наблюдается восстановление микроциркуляторного русла, формирование сосудов и грануляционной ткани.
Рисунок 1. Структура костной ткани фрагмента нижней челюсти крысы после иммунотропной композиции без витамина D3
Примечание. Окраска гематоксилином и эозином, увеличение в 400 раз.
Figure 1. Structure of the bone tissue of a fragment of the lower jaw of a rat after an immunotropic composition without vitamin D3
Note. Hematoxylin and eosin staining, 400× magnification.
Рисунок 2. Структура костной ткани фрагмента нижней челюсти крысы после иммунотропной композиции с витамином D3
Примечание. Окраска гематоксилином и эозином, увеличение в 400 раз.
Figure 2. Structure of the bone tissue of a fragment of the lower jaw of a rat after an immunotropic composition with vitamin D3
Note. Hematoxylin and eosin staining, 400× magnification.
Заключение
По результатам клинических, лабораторных и гистологических исследований было установлено, что во всех группах сравнения экспериментальных животных отмечался хороший терапевтический эффект в ходе лечения пародонтита с применением иммунотропной топической композиции на десну. Сочетание пептида, который обладает широким спектром действия, и кремнийорганического глицерогидрогеля, обладающего транскутанной активностью, оказывает хорошее воздействие на этиологический фактор заболевания. Однако в группе, лечение которой было дополнено пероральным введением витамина D3, биохимические показатели, описывающие фосфорно-кальциевое соотношение, были несколько лучше. Все это можно объяснить комплексным действием применяемой топической композиции и витамина.
About the authors
K. A. Khlystova
Institute of Immunology and Physiology, Ural Branch of the Russian Academy of Sciences
Email: krn2003@bk.ru
Postgraduate Student, Institute of Immunology and Physiology, Ural Branch, Russian Academy of Sciences
Russian Federation, YekaterinburgN. S. Chumakov
Institute of Immunology and Physiology, Ural Branch of the Russian Academy of Sciences
Email: chumakov-nikita@mail.ru
Postgraduate Student, Institute of Immunology and Physiology, Ural Branch, Russian Academy of Sciences
Russian Federation, YekaterinburgN. G. Sarkisyan
Institute of Immunology and Physiology, Ural Branch of the Russian Academy of Sciences; Ural State Medical University
Email: narine_25@mail.ru
PhD, MD (Medicine), Professor, Postgraduate Department, Institute of Immunology and Physiology, Ural Branch, Russian Academy of Sciences; Associate Professor, Department of Therapeutic Dentistry and Propedeutics of Dental Diseases, Ural State Medical University
Russian Federation, Yekaterinburg; YekaterinburgNatalia N. Kataeva
Ural State Medical University
Author for correspondence.
Email: kataeva.nn@mail.ru
ORCID iD: 0000-0002-2847-8810
PhD (Chemistry), Associate Professor, General Chemistry Department, Ural State Medical University
Russian Federation, YekaterinburgL. I. Drozdova
Ural State Agrarian University
Email: drozdova@mail.ru
PhD, MD (Veterinary Sciences), Professor, Head, Department of Morphology and Expertise, Ural State Agrarian University
Russian Federation, YekaterinburgI. A. Tuzankina
Institute of Immunology and Physiology, Ural Branch of the Russian Academy of Sciences
Email: ituzan@yandex.ru
PhD, MD (Medicine), Professor, Honored Worker of Science, Chief Research Associate, Institute of Immunology and Physiology, Ural Branch, Russian Academy of Sciences
Cook Islands, YekaterinburgReferences
- Большедворская Н.Е., Казанкова Е.М. Этиопатогенетические особенности воспалительных заболеваний пародонта // Безопасность здоровья человека, 2017. №. 3. С. 26-35. [Bolshedvorskaya N.E., Kazankova E.M. Etiopathogenetic features of periodontal inflammatory diseases. Bezopasnost zdorovya cheloveka = Security of Human Health, 2017, no. 3, pp. 26-35. (In Russ.)]
- Борисова Е.О. Клиническая фармакология парентеральных форм глюкокортикостероидов // Лечебное дело, 2007. №. 3. С. 17-24. [Borisova E.O. Clinical pharmacology of parenteral forms of glucocorticosteroids. Lechebnoe delo = Medicine, 2007, no. 3, pp. 17-24. (In Russ.)]
- Гилева О.С., Бондаренко Е.А., Гибадуллина Н.В., Садилова В.А., Гилева Е.С., Позднякова А.А., Сатюкова Л.Я. Новые подходы к лечению воспалительных заболеваний пародонта // Уральский медицинский журнал, 2011. № 5 (83). С. 22-27. [Gileva O.S., Bondarenko E.A., Gibadullina N.V., Sadilova V.A., Gileva E.S., Pozdnyakova A.A., Satukova L.Y. New approaches to the treatment of inflammatory periodontal diseases. Uralskyi meditsinskyi zurnal = Ural Medical Journal, 2011, no. 5 (83), pp. 22-27. (In Russ.)]
- Горбунова И.Л., Ивашкеева И.П., Ефименко К.А., Колобова Д.О., Баранник А.А., Деревянко А.С. Обоснование эффективности местной антибактериальной терапии в комплексном лечении больных хроническим генерализованным пародонтитом // Уральский медицинский журнал, 2018. № 1 (156). С. 34-38. [Gorbunova I.L., Ivashkeeva I.P., Efimenko K.A., Kolobova D.O., Barannik A.A., Derevyanko A.S. The local antibiotic therapy efficiency ground for the complex treatment of patients suffering from chronic generalized periodontitis. Uralskyi meditsinskyi zurnal = Ural Medical Journal. 2018, no. 1 (156), pp. 34-38. (In Russ.)]
- Дурягина Л.Х., Колесник В.М., Дегтярева Л.А., Седых В.П., Андрианова И.И., Прийма Н.В., Саенко Т.С., Дубровина-Парус Т.А., Вахтина Е.Б., Дорофеева О.В. Некоторые аспекты течения заболеваний пародонта и слизистой оболочки полости рта при сочетании с соматической патологией: обзор литературы // Крымский терапевтический журнал, 2020. №. 1. С. 43-48. [Duryagina L.Kh., Kolesnik V.M., Degtyareva L.A., Sedykh V.P., Andrianova I.I., Priima N.V., Saenko T.S., Dubrovina-Parus T.A., Vakhtina E.B., Dorofeeva O.V. Some aspects of the course of periodontal diseases and diseases of mucous membrane of an oral cavity in combination with somatic pathology: a literature review. Krymskiy terapevticheskiy zhurnal = Crimean Therapeutic Journal, 2020, no. 1, pp. 43-48. (In Russ.)]
- Зурочка А.В., Зурочка В.А., Добрынина М.А., Зуева Е.Б., Дукарт В.В., Гриценко В.А., Тяпаева Я.В., Черешнев В.А. Феномен наличия уникальной комбинации иммунобиологических свойств у синтетического аналога активного центра гранулоцитарно-макрофагального колониестимулирующего фактора (ГМ- КСФ) // Бюллетень Оренбургского научного центра УрО РАН, 2016. №. 2. 9 c. [Zurochka A.V., Zurochka1 V.A., Dobrynina M.A., Zueva1 E.B., Duckart V.V., Gritsenko V.A., Tyapaeva Y.V., Chereshnev V.A. The phenomenon of unique combination of immunobiological properties of synthetic analogue of the active center of granulocyte-macrophage colony-stimulating factor (GM-CSF). Byulleten Orenburgskogo nauchnogo tsentra UrO RAN = Bulletin of the Orenburg Scientific Center of the Ural Branch of the Russian Academy of Sciences, 2016, no. 2, 9 p. (In Russ.)]
- Овсепян Н.А., Тузанкина И.А., Саркисян Н.Г., Долгих М.А., Соколова К.В. Применение терапевтической композиции топического применения, содержащей препараты Ацеграм и силативит гель, на модели хронического пародонтита у крыс // Российский иммунологический журнал, 2017. Т. 11, № 3 (20). С. 448-450. [Ovsyepyan N.A., Tuzankina I.A., Sarkisyan N.G., Dolgih M.A., Sokolova K.V. Application of therapeutic composition of topical application containing Acegram and silativit-gel on the model of chronic periodontitis in rats. Rossiyskiy immunologicheskiy zhurnal = Russian Journal of Immunology, 2017, Vol. 11, no. 3 (20), pp. 448-450. (In Russ.)]
- Патент на изобретение № 2470640 РФ. Средство для лечения воспалительных заболеваний полости рта и способ лечения воспалительных заболеваний полости рта / О.Н. Чупахин, А.С. Симбирцев, Т.Г. Хонина, Н.Г. Саркисян и др.; опубл. 27.12.2012. // Бюллетень 2012. № 36. 16 с. [The patent for the invention № 2470640 of the Russian Federation. Agent for treating inflammatory oral diseases and method of treating inflammatory oral diseases / O.N. Chupakhin, A.S. Simbirtsev, T.G. Honina, N.G. Sarkisyani et al.; publ. 12/27/2012. // Bull. 2012. № 36. 16 p.]
- Пушилина А.Д., Коменкова Т.С., Зайцева Е.А. Современные представления о механизмах формирования резистентности микроорганизмов к антимикробным препаратам // Медико-фармацевтический журнал «Пульс», 2019. Т. 21, № 10. С. 125-130. [Pushilina A.D., Komenkova T.S., Zaitseva E.A. Microorganisms antibiotic resistance mechanisms – present view. Mediko-pharmatsephticheskiy zurnal «Puls» = Medical and Pharmaceutical Journal “Pulse”, 2019, Vol. 21, no. 10, pp. 125-130. (In Russ.)
- Самигуллина Л.И., Таминдарова Р.Р., Кавеева А.А. Клинико-рентгенологическая оценка эффективности применения нимесулида в комплексном лечении хронического генерализованного пародонтита в стадии обострения // Уральский медицинский журнал, 2016. № 8 (141). С. 110-113. [Samigullina L.I., Tamindarova R.R., Kaveeva A.A. Clinical and radiological evaluation of efficiency of nimesulide in patients with exacerbation of chronic periodontitis. Uralskyi meditsinskyi zurnal = Ural Medical Journal, 2016, no. 8 (141), pp. 110-113. (In Russ.)]. doi: 10.31857/S102872210006952-2.
- Саркисян Н.Г., Катаева Н.Н., Тузанкина И.А., Меликян С.Г. Антимикробные пептиды в терапии слизистой полости рта // Российский иммунологический журнал, 2019. Т. 13, № 2-1 (22). С. 524-526. [Sarkisyan N.G., Kataev N.N., Tuzankina I.A., Melikyan S.G. Antimicrobial peptides in the treatment of muscular oral cavity. Rossiyskiy immunologicheskiy zhurnal = Russian Journal of Immunology, 2019, Vol. 13, no. 2-1 (22), pp. 524-526. (In Russ.)]
- Саркисян Н.Г., Катаева Н.Н., Тузанкина И.А., Меликян С.Г., Зурочка В.А., Зурочка А.В. Оценка эффективности спрея на основе синтетического пептида в комплексном лечении хронического генерализованного пародонтита // Инфекция и иммунитет, 2019. Т. 9, № 3-4. С. 549-558. [Sarkisian N.G., Kataeva N.N., Tuzankina I.A., Melikyan S.G., Zurochka V.A., Zurochka A.V. Assessing efficiency of synthetic peptide-containing spray in combination therapy of chronic generalized periodontitis. Infektsiya i immunitet = Russian Journal of Infection and Immunity, 2019, Vol. 9, no. 3-4, pp. 549-558. (In Russ.)] doi: 10.15789/2220-7619-2019-3-4-549-558.
- Саркисян Н.Г., Катаева Н.Н., Хохрякова Д.А., Меликян С.Г. Применение синтетических пептидов в профилактике заболеваний полости рта // Врач, 2023. Т. 34, № 2. С. 62-65. [Sarkisyan N.G., Kataev N.N., Khokhryakova D.A., Melikyan S.G. Use the synthetic peptides in the prevention of oral diseases. Vrach = Doctor, 2023, Vol. 34, no. 2, pp. 62-65. (In Russ.)]
- Саркисян Н.Г., Ронь Г.И., Тузанкина И.А., Хонина Т.Г., Ларионов Л.П., Симбирцев А.С., Дроздова Л.И., Тимченко А.С. Морфологическая оценка эффективности использования фармакологических композиций на основе кремнийорганического глицерогидрогеля // Иммунология, 2017. Т. 38, № 2. С. 91-96. [Sarkisyan N.G., Ron G.I., Tuzankina I.A., Honina T.G., Larionov L.P., Simbirtsev A.S., Drozdova L.I., Timchenko A.S. Morphological evaluation of the effectiveness of the use of pharmacological compositions based on silicone glycerohydrogel. Immunologiya = Immunologiya, 2017, Vol. 38, no. 2. pp. 91-96. (In Russ.)]
- Саркисян Н.Г., Тимченко А.С., Ларионов Л.П., Тузанкина И.А. Способ получения модели хронического пародонтита у крыс // Уральский медицинский журнал, 2014. № 3 (117). С. 54-56. [Sarkisyan N.G., Timchenko A.S., Larionov L.P., Tuzankin I.A. A method for producing a model of chronic periodontitis in rats. Uralskyi meditsinskyi zurnal = Ural Medical Journal. 2014, no. 3 (117), pp. 54-56. (In Russ.)]
- Саркисян Н.Г., Чумаков Н.С., Гренадерова М.А. Экспериментальная оценка эффективности пептидсодержащего препарата в лечении хронического пародонтита. Российский иммунологический журнал, 2019. Т. 13, № 3 (22). С. 1258-1262. [Sarkisyan N.G., Chumakov N.S., Grenaderova M.A. Experimental evaluation of the efficiency of the peptidecontaining drug in the treatment of chronic periodontitis. Rossiyskiy immunologicheskiy zhurnal = Russian Journal of Immunology, 2019, Vol. 13, no. 3 (22), pp. 1258-1262. (In Russ.)]. doi: 10.31857/S102872210007265-6.
- Хлыстова К.А., Саркисян Н.Г., Катаева Н.Н. Природные и синтетические пептиды в антимикробной терапии // Российский иммунологический журнал, 2023. Т. 26, № 2. С. 105-114. [Khlystova K.A., Sarkisyan N.G., Kataeva N.N. Natural and synthetic peptides in antimicrobial therapy. Rossiyskiy Immunologicheskiy Zhurnal = Russian Journal of Immunology, 2023, Vol. 26, no. 2, pp. 105-114. (In Russ.)]. doi: 10.46235/1028-7221-12362-NAS.
- Wang C.-W.J., McCauley L.K. Osteoporosis and periodontitis. Curr. Osteoporos. Rep., 2016, Vol. 14, no. 6, pp. 284-291.
Supplementary files





