Dynamics of clinical and immunological parameters in retinal pigment epithelium transplantation in the context of combined immunosuppressive therapy in the rabbit model of retinal degeneration
- Authors: Neroeva N.V.1, Balatskaya N.V.1, Neroev V.V.1, Brilliantova A.G.1, Katargina L.A.1, Lagarkova M.A.2
- 
							Affiliations: 
							- Helmholtz National Medical Research Eye Diseases Center
- Lopukhin Federal Research and Clinical Center of Physical-Chemical Medicine, Federal Medical Biological Agency
 
- Issue: Vol 27, No 4 (2024)
- Pages: 787-794
- Section: SHORT COMMUNICATIONS
- Submitted: 28.03.2024
- Accepted: 31.03.2024
- Published: 25.10.2024
- URL: https://rusimmun.ru/jour/article/view/16700
- DOI: https://doi.org/10.46235/1028-7221-16700-DOC
- ID: 16700
Cite item
Full Text
Abstract
Progressive damage of the retinal pigment epithelium (RPE) underlies the pathogenesis of degenerative retinal diseases such as: age-related macular degeneration (AMD), Stargardt’s disease, retinitis pigmentosa, Best’s disease and others. This group of diseases led by AMD leads to irreversible loss of visual functions, blindness and disability. The possibilities of therapy of late stages of AMD are extremely limited. The most promising approach to replace the damaged retinal pigment epithelium appears to be transplantation of RPE cells derived from induced pluripotent stem cells (iPSC-RPE) into the subretinal space (SRS). Despite immune privilege in the SRS, transplantation of xenogeneic cellular material causes severe inflammation in the posterior segment of the eye and leads to graft rejection in an in vivo experiment in the absence of immunosuppression. The solution to the problem of tissue incompatibility in this case can be the use of combined immunosuppressive therapy (CIT), aimed, on the one hand, at suppression of local inflammation (in the eye) and, on the other hand, at suppression of the systemic transplantation immune response. The aim of the study: clinical and immunological analysis of the results of transplantation of IPSC-RPE suspension on the background of CIT, including single intravitreal intraoperative administration of kenalog and further systemic application of mycophenolate mofetil (MMF), in the model of RPE atrophy in rabbits. Standard and specialized ophthalmological examination was performed at early and distant terms after the intervention in order to clinically assess the posttransplantation process. To analyze the immune status, vitreous humor (VH) and blood serum (BS) of rabbits of the experimental groups were collected. The concentrations of TGF-β1, TGF-β2, and IL-2 were determined in the biomaterial using solid-phase enzyme immunoassay. According to the results of the study, subretinal transplantation of IPSC-RPE, performed against the background of combination of single intravitreal intraoperative administration of kenalog and systemic application of MMF, is a safe method, which provides preservation of the retina and other adjacent structures of the eye and allows to prevent rejection of xenogenic material during its transplantation both in a healthy eye and with pre-formed RPE atrophy, which opens perspectives for full testing of biological effects realized by IPSC-RPE.
Full Text
Введение
Дегенеративные заболевания сетчатки, связанные с прогрессирующим поражением ретинального пигментного эпителия (РПЭ), такие как: возрастная макулярная дегенерация (ВМД), болезнь Штаргардта, пигментный ретинит, болезнь Беста и пр. – приводят к значительному снижению зрительных функций, слепоте и инвалидности [9].
ВМД является одной из главных причин необратимой потери центрального зрения у пациентов старшей возрастной группы; по данным Wong W.L., вследствие увеличения продолжительности жизни количество пациентов с данной патологией будет неуклонно расти [15]. Лечение на поздних стадиях ВМД имеет ограничения и представлено антиангиогенными препаратами для борьбы с неоваскуляризацией при «влажной» форме заболевания, терапии «сухой» формы – географической атрофии (ГА) не разработано в связи с неспособностью РПЭ к регенерации [7].
Развитие клеточных технологий c возможностью получения индуцированных плюрипотентных стволовых клеток (ИПСК) (по свойствам подобных эмбриональным СК) с дальнейшей их дифференцировкой в заданные клеточные типы, совершенствование микрохирургической техники инициировали разработку новых способов лечения поздней ВМД, направленных на восстановление РПЭ. Наиболее перспективным подходом для замены поврежденных элементов сетчатки представляется субретинальная трансплантация клеток РПЭ производных от ИПСК (ИПСК-РПЭ) [14].
Известно, что глаз, как и мозг, волосяные фолликулы и репродуктивные органы, обладает иммунной привилегией (ИП), что создает, по мнению ряда исследователей, относительно безопасную среду для клеточной трансплантации в субретинальном пространстве (СРП) [16].
Противовоспалительные свойства ИПСК-РПЭ также могут способствовать повышению их выживаемости в среде реципиента [14].
Несмотря на уникальные условия, формируемые ИП, субретинальная трансплантация ксеногенных СК вызывает тяжелое воспаление в заднем отрезке глаза и приводит к отторжению трансплантата в эксперименте in vivo в отсутствие иммуносупрессии [13]. По данным Rajendran Nair D.S. и соавт., при трансплантации в СРП отторгается от 30% до 50% материала ИПСК-РПЭ [12].
Наиболее часто при заместительной клеточной терапии РПЭ в эксперименте используются кортикостероиды (КС) и циклоспорин А (ЦсА) [10, 11]. Как показывает анализ данных литературы, применение указанных средств в режиме монотерапии в подавляющем большинстве случаев не способствует увеличению выживаемости клеточного материала даже при трансплантации в здоровый глаз и приводит, особенно при длительных курсах КС, к развитию и прогрессированию катаракты, повышению внутриглазного давления [10, 11].
Необходимо отметить, что воспалительный процесс в СРП при дегенерации сетчатки снижает иммуносупрессивную активность РПЭ, что ведет к срыву глазной ИП и ослаблению системной иммунологической толерантности [1, 4].
Решением проблемы тканевой несовместимости в данном случае является комбинированная иммуносупрессивная терапия (КИТ), направленная, с одной стороны, на подавление локального воспаления (в СРП), а с другой – системного трансплантационного иммунного ответа. Доказательства безопасности субретинальной трансплантации ИПСК-РПЭ, длительного выживания ксеногенного трансплантата в СРП кроликов с моделью дегенерации сетчатки на фоне КИТ, включающей КС и ЦсА, были представлены в нашей работе, а также в исследовании, проведенном Fujii S. и соавт. на приматах [2, 8].
Однако применение ЦсА – традиционного средства профилактики болезни трансплантата, связано с развитием широкого спектра неблагоприятных реакций у пожилых пациентов, включая повышенные риски образования опухолей.
Вместе с тем имеются данные, указывающие на перспективы использования микофенолата мофетил (ММФ) – иммунодепрессанта метаболического типа с менее выраженным побочным действием, который уже показал свою эффективность как в общей трансплантологии, при пересадках солидных органов, так и при трансплантации роговицы [6].
ММФ – предшественник активной субстанции микофеноловой кислоты; как и ЦсА, селективно подавляет пролиферацию Т-лимфоцитов, но в отличие от последнего обладает более широкой иммуносупрессивной активностью, демонстрирует антипролиферативные эффекты.
Сообщения о положительных результатах применения ММФ при лечении таких воспалительных заболеваний глаз, как: увеиты, склериты, – приводятся Zierhut M. и соавт. [17].
Показано, что частота прозрачного приживления трансплантата после кератопластики высокого риска с применением системно вводимого ММФ была значительно выше по сравнению с группой, где проводилась пересадка на фоне ЦсА [5].
Цель работы – клинико-иммунологический анализ результатов трансплантации ИПСК-РПЭ на фоне КИТ, включающей ММФ, в модели атрофии РПЭ на кроликах
Материалы и методы
Субретинальная трансплантация ИПСК-РПЭ выполнена 24 кроликам породы новозеландский альбинос (возраст 2,5-3,0 мес., вес 2,0-2,5 кг), из которых I группу составили 12 животных-реципиентов со здоровыми глазами, животным II группы (n = 12) введение клеток проводилось в глаз с предварительно смоделированной атрофией РПЭ по ранее разработанной методике [3].
Клетки РПЭ для трансплантации были получены путем направленной дифференцировки ИПСК здорового донора в лаборатории клеточной биологии ФГБУ ФНКЦ ФХМ им. Ю.М. Лопухина ФМБА России. Предоперационная подготовка животных заключалась во введении обезболивающих препаратов; перед хирургическим вмешательством вводили 0,3 мл 0,4%-ного раствора Дексаметазона, 0,5 мл Этамзилата для снижения риска развития экссудативно-геморрагических осложнений. Введение ИПСК-РПЭ осуществлялось в правый глаз доступом parsplana с установкой портов 23 Ga с помощью ретинотомии на расстоянии 0,5 pd книзу от диска зрительного нерва в количестве 50 000 клеток, суспендированных в 0,05 мл фосфатно-солевого буферного раствора (НПП «ПанЭко», Россия). Все животные-реципиенты ИПСК-ПЭС получали КИТ, включавшую: 1. Однократное интравитреальное введение 0,2-0,3 мл кеналога (40 мг/мл) по завершении трансплантации; 2. Пероральное получение ММФ в пищевой смеси, в дозе 50 мг/ сутки на протяжении всего срока наблюдения с первого дня после трансплантации до окончания эксперимента. Группа контроля включала 6 здоровых кроликов (12 глаз) без офтальмохирургических манипуляций.
На 14-е, 28-е и 60-е сутки после вмешательства проводилось стандартное и специализированное офтальмологическое обследование (биомикроскопия, оптическая когерентная томография (ОКТ), снимки на аутофлюоресценцию (АФ), фоторегистрация глазного дна (Heidelberg Spectralis™ SD-OCT), производился забор крови (из ушной вены с помощью стерильных вакуумных систем). Животные выводились из эксперимента методом воздушной эмболии после введения в наркоз, далее выполнялись энуклеация и забор стекловидного тела (СТ). Образцы СТ хорошо перемешивали, разделяли на аликвоты в объеме не менее 100 мкл, помещали в пробирки Eppendorf и хранили при температуре -70 °С до проведения исследований. Иммунологические исследования выполнены в 24 образцах СТ и 24 пробах сыворотки крови (СК) кроликов опытных и контрольной групп. С помощью твердофазного иммуноферментного анализа в биоматериале определяли концентрацию TGF-β1, TGF-β2, IL-2 тест-системами Cloud-Clone Corp. (США), Blue Gene (КНР) согласно инструкциям производителей. Учет результатов реакции вели на фотометре Cytation 5 (BioTek, США) при длине волны 450 нм. Статистическая обработка выполнялась с использованием стандартных пакетов прикладных программ MS Excel, StatSoft12. Количественные данные описывались с помощью медианы (Me) и нижнего и верхнего квартилей (Q0,25-Q0,75). При сравнении групп применен U-критерий Манна–Уитни. Критический уровень значимости при проверке статистических гипотез принимался как р < 0,05.
Результаты и обсуждение
Результаты анализа содержания основных факторов иммунологического гомеостаза в СК и СТ до и после трансплантации ИПСК-РПЭ представлены в таблице 1. Отсутствие TGF-β1 в тест-пробах СТ у животных основных групп (табл. 1) согласуется с данными Hirsch L. и соавт., которые показали, что основной изоформой, конститутивно секретируемой культурой клеток РПЭ, является TGF-β2, но не TGF-β1.
ТАБЛИЦА 1. ДИНАМИКА КОНЦЕНТРАЦИЙ TGF-β1, TGF-β2, IL-2 В СТ И СК ЖИВОТНЫХ-РЕЦИПИЕНТОВ ДО И ПОСЛЕ ПРОВЕДЕНИЯ ТРАНСПЛАНТАЦИИ ИПСК-РПЭ В ЭКСПЕРИМЕНТЕ
TABLE 1. DYNAMICS OF CONCENTRATIONS OF TGF-β1, TGF-β2, IL-2 IN THE VITREOUS HUMOUR AND BLOOD SERUM OF RECIPIENT ANIMALS BEFORE AND AFTER IPSCS-RPE TRANSPLANTATION IN THE EXPERIMENT
| Показатель Indicators | Группы животных Me (Q0,25-Q0,75) Groups of recipient animals Me (Q0.25-Q0.75) | |||
| I Здоровый глаз Intact RPE (n=12) | II Атрофия РПЭ RPE atrophy (n=12) | |||
| Период наблюдения (сутки) Observation period (day) | ||||
| 0 | от 28 сут. ≥ 28 days | 0 | от 28 сут. ≥ 28 days | |
| Содержание цитокинов в стекловидном теле (СТ) (пг/мл) Observation period (day) | ||||
| TGF-β1 | 0,0 | 0,0 (0,00-182,68) | 0,0 | 0,0 (0,0-203,5) | 
| TGF-β2 | 1060,9 (467,3-2123,1) | 1574,6* (707,04-2377,20) | 2195,2# (1580,9-2809,5) | 1587,3** (720,0-2568,5) | 
| IL-2 | 1,2 (0,0-12,1) | 91,5* (4,9-152,8) | 13,7# (6,9-19,3) | 7,6** (0,0-67,6) | 
| Содержание цитокинов в сыворотке крови (СК) (пг/мл) The content of cytokines in the blood serum (pg/ml) | ||||
| TGF-β1 | 469,0 (402,0-584,0) | 42,65* (0,00-182,68) | 145,9# (125,3-166,5) | 97,70** (0,00-157,46) | 
| TGF-β2 | 1041,0 (427,0-1143,0) | 1126,1 (491,6-1600,0) | 1242,5# (1126,1-1358,0) | 544,17 ** ǂ (0,718-1169,810) | 
| IL-2 | 0,0 | 0,0 | 0,0 | 0,0 | 
Примечание. n – количество глаз в группе; * – достоверность отличия значений показателей при сравнении до и после трансплантации в I группе (p < 0,05); ** – достоверность отличия значений показателей при сравнении до и после трансплантации во II группе (p < 0,05); # – достоверность отличия значений показателей I и II групп до проведения вмешательства (p < 0,05); ǂ – достоверность отличия значений показателей I и II групп через 28 и более суток после проведения трансплантации (p < 0,05).
Note. n, number of eyes in the group; *, reliability of the difference of indicators in comparison with the meanings before and after transplantation in the first group (p < 0,05); **, reliability of difference of indicators in comparison with the meanings before and transplantation in the second group (p < 0,05); #, reliability of difference of indicators in the first and second group before transplantation (p < 0,05); ǂ, reliability of difference between the values of parameters of groups I and II in 28 and more days after transplantation (p < 0,05).
TGF-β2, продуцируемый резидентными клетками во всех отделах глаза, обнаруживался в СТ обеих групп: в I группе до трансплантации медиана его локальной продукции составила 1060,9 пг/мл, тогда как во II (с атрофией РПЭ) уровень цитокина был значимо выше (p < 0,05). Не исключено, что усиление локального синтеза TGF-β2, выполняющего ключевую роль в контроле внутриглазного воспаления, носило компенсаторный характер и было вызвано атрофическими изменениями РПЭ. Через месяц после трансплантации уровень TGF-β2 в СТ животных-реципиентов II группы снизился и достиг диапазона нормы – начальных предоперационных значений в группе без офтальмопатологии (табл. 1). В СК у кроликов с атрофией РПЭ до трансплантации выявлено значительное достоверное снижение (практически в 4 раза) уровня TGF-β1 по сравнению с таковым в I группе (p < 0,05), что свидетельствовало об ослаблении системной иммунологической толерантности при дегенеративном изменении сетчатки. На сроках наблюдения 28 суток и выше после введения ИПСК-РПЭ в обеих группах наблюдалось снижение системной продукции указанного цитокина (табл. 1).
IL-2, играющий ключевую роль в адаптивном иммунитете, был обнаружен в подавляющем большинстве проб СТ животных обеих групп (табл. 1).
Известно, что основными продуцентами IL-2 являются Т-клетки, в основном активированные Т-хелперы 1-го типа (Th1), в меньшей степени цитотоксические Т-лимфоциты и кратковременно антигенпрезентирующие клетки.
Парадоксальное на первый взгляд присутствие IL-2 в среде СТ здоровых глаз (I группе до трансплантации), практически не содержащей иммунокомпетентных клеток, согласуется с данными работ Girard S. и соавт., 2008; Serrano-Prez M.C. и соавт., 2011 в которых представлены убедительные доказательства синтеза этого цитокина астроглией без участия Т-лимфоцитов. Статистически значимое повышение интраокулярного уровня IL-2, наблюдаемое до трансплантации у животных II группы, по сравнению с таковым у кроликов без офтальмопатологии (табл. 1), позволяет думать о формировании активированного фенотипа микроглии, реализующей локальную защитную реакцию, направленную на предотвращение повреждения сетчатки. Действительно, подобный ответ с продукцией этого цитокина клетками микроглии при ишемии и травме нервной ткани описан в исследовании Girard S. и соавт. (табл. 1). Через месяц после трансплантации ИПСК-РПЭ у кроликов I группы отмечался достоверный рост интраокулярной продукции IL-2, что, вероятно, также может быть вызвано реакцией микроглии на введенные клетки в сетчатку и нуждается в дальнейшем исследовании. В эти же сроки наблюдения, в отличие от группы животных-реципиентов без глазной патологии, в СТ моделей с атрофией РПЭ наблюдалось ослабление синтеза данного цитокина, вызванное, скорее всего действием проникающего через поврежденный ГРБ ММФ, обладающего ингибирующим действием на микроглию.
На всех сроках наблюдения после трансплантации ИПСК-РПЭ концентрация IL-2 в СК составляла 0,0 пг/мл, что свидетельствовало о достижении системного иммуносупрессивного эффекта от ММФ.
На ОКТ-снимке представлен горизонтальный срез здоровой сетчатки кролика до проведения трансплантации (рис. 1). При анализе снимков ОКТ у кроликов с интактным РПЭ (I группа) на 14-е сутки профиль сетчатки не был изменен, все слои дифференцировались, под нейросенсорной сетчаткой визуализировалась зона умеренной гиперрефлективности, соответствующая локализации трансплантированных клеток.
Рисунок 1. ОКТ-снимок здоровой сетчатки кролика, горизонтальный срез
Примечание. Объяснение в тексте статьи.
Figure 1. OCT image of a healthy rabbit retina, horizontal slice
Note. Explanation in the text of the article.
К 28-м суткам наблюдения и более отмечалось снижение выраженности гиперрефлективности монослоя под нейросенсорной сетчаткой, что скорее всего свидетельствует о распределении клеточного материала, профиль и структура сетчатки оставались неизменными.
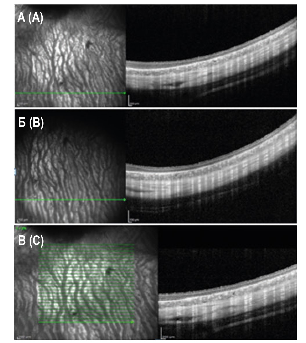
Во II группе с атрофией РПЭ до трансплантации, по данным ОКТ, обнаруживалась область повышенного проникновения сканирующего луча в подлежащие ткани, соответствующая области атрофии РПЭ (рис. 2А).
Рисунок 2. ОКТ-снимки, выполненные в сроки до и в разные сроки наблюдения при проведении субретинальной трансплантации ИПСК-РПЭ животным в глаз атрофией РПЭ (II группа), горизонтальный срез: А – до операции; Б – на 14-е сутки; В – на 28-е сутки и более
Примечание. Объяснение в тексте статьи.
Figure 2. OCT images performed at pre- and at different follow-up times during subretinal transplantation of IPSCs – RPE animals into the eye with RPE atrophy (group II), horizontal slice: A, preoperatively; B, on the 14th day; C, on 28 days and more
Note. Explanation in the text of the article.
На 14-е сутки после введения суспензии ИПСК-РПЭ в субретинальное пространство профиль сетчатки оставался сохранным, слои сетчатки дифференцировались, на срезах не выявлено ОКТ-признаков воспалительных и других патологических изменений сетчатки (рис. 2Б).
В позднем периоде наблюдения (28-60-е сутки) отмечается частичное уменьшение прохождения сканирующего луча под сетчатку, что может указывать на частичное восстановление клеток РПЭ. Осложнений и отрицательной динамики не было выявлено, слои сетчатки дифференцированы (рис. 2В).
Во время динамического контроля за животными на всех сроках наблюдения после оперативного вмешательства не было выявлено клинических и ОКТ-признаков воспаления и других патологических изменений сетчатки.
Выводы
- Таким образом, результаты исследования свидетельствуют, что развитие дегенеративных изменений сетчатки ассоциируется с активацией локального иммунологического ответа, опосредуемого повышением интраокулярной продукции IL-2 и сопровождается ослаблением системной толерантности (на уровне организма) – снижением содержания TGF-β1 в СК лабораторных животных.
- Субретинальная трансплантация ИПСК-РПЭ, проводимая на фоне комбинированной иммуносупрессивной терапии, является безопасным методом, обеспечивающим сохранность сетчатки и других прилежащих структур глаза. Системное применение ММФ в составе КИТ позволяет предотвратить отторжение ксеногенного материала при его трансплантации как в здоровый глаз, так и с предварительно индуцированной атрофией РПЭ, что открывает перспективы для полноценного тестирования биологических эффектов, реализуемых ИПСК-РПЭ.
About the authors
N. V. Neroeva
Helmholtz National Medical Research Eye Diseases Center
														Email: angelinabrilliantova@gmail.com
				                					                																			                								
PhD (Medicine), Ophthalmologist, Department of Retinal and Optic Nerve Pathology
Russian Federation, 14/19 Sadovaya-Chernogryazskaya St, Moscow, 105062N. V. Balatskaya
Helmholtz National Medical Research Eye Diseases Center
														Email: angelinabrilliantova@gmail.com
				                					                																			                								
PhD (Biology), Leading Research Associate, Head, Department of the Immunology and Virology
Russian Federation, 14/19 Sadovaya-Chernogryazskaya St, Moscow, 105062V. V. Neroev
Helmholtz National Medical Research Eye Diseases Center
														Email: angelinabrilliantova@gmail.com
				                					                																			                								
PhD, MD (Medicine), Professor, Full Member, Russian Academy of Science, Director
Russian Federation, 14/19 Sadovaya-Chernogryazskaya St, Moscow, 105062A. G. Brilliantova
Helmholtz National Medical Research Eye Diseases Center
							Author for correspondence.
							Email: angelinabrilliantova@gmail.com
				                					                																			                								
Postgraduate Student, Department of Retinal and Optic Nerve Pathology
Russian Federation, 14/19 Sadovaya-Chernogryazskaya St, Moscow, 105062L. A. Katargina
Helmholtz National Medical Research Eye Diseases Center
														Email: angelinabrilliantova@gmail.com
				                					                																			                								
PhD, MD (Medicine), Professor, Head, Eye Pathology in Children Department, Deputy Director
Russian Federation, 14/19 Sadovaya-Chernogryazskaya St, Moscow, 105062M. A. Lagarkova
Lopukhin Federal Research and Clinical Center of Physical-Chemical Medicine, Federal Medical Biological Agency
														Email: angelinabrilliantova@gmail.com
				                					                																			                								
PhD, MD (Biology), Correxponding Member, Russian Academy of Science, Director
Russian Federation, MoscowReferences
- Нероев В.В., Балацкая Н.В., Светлова Е.В., Нероева Н.В., Рябина М.В., Кармокова А.Г., Лосанова О.А., Черноморец И.Ю., Илюхин П.А. Особенности локальной экспрессии мРНК, IL-1β, IL-18, CCL2/MCP-1 при моделировании атрофии пигментного эпителия и дегенерации сетчатки в эксперименте на кроликах // Молекулярная медицина, 2021. Т. 19, № 2. С. 54-62. [Neroev V.V., Balatskaya N.V., Svetlova E.V., Neroeva N.V., Ryabina M.V., Karmokova A.G, Losanova O.A., Chernomorets I.Yu., Ilyukhin P.A. Features of local expression of MRNA, IL-1β, IL-18, CCL2/MCP-1 in modeling pigment epithelium atrophy and retinal degeneration in the experiment on rabbits. Molekulyarnaya meditsina = Molecular Medicine, 2021, Vol. 19, no. 2, pp. 54-62. (In Russ.)]
- Нероева Н.В., Балацкая Н.В., Бриллиантова А.Г., Катаргина Л.А., Харитонов А.Е., Лагарькова М.А., Богомазова А.Н. Клинико-иммунологический анализ трансплантации ретинального пигментного эпителия, полученного из индуцированных плюрипотентных стволовых клеток, в условиях фармакологической иммуносупрессии у кроликов // Офтальмология, 2024.Т. 21, № 1. С. 193-204. [Neroeva N.V., Balatskaya N.V., Brilliantova A.G. Katargina L.A., Kharitonov A.E., Lagarkova M.A., Bogomazova A.N. Clinical and immunological analysis of retinal pigment epithelium transplantation derived from induced pluripotent stem cells under pharmacological immunosuppression in rabbits. Oftalmologiya = Ophthalmology, 2024, Vol. 21, no. 1, pp. 193-204. (In Russ.)]
- Нероева Н.В., Нероев В.В., Илюхин П.А., Кармокова А.Г., Лосанова О.А., Рябина М.В., Майбогин А.М. Моделирование атрофии ретинального пигментного эпителия // Российский офтальмологический журнал, 2020. Т. 13, № 4. С. 58-63. [Neroeva N.V., Neroev V.V., Ilyukhin P.A., Karmokova A.G., Losanova O.A., Ryabina M.V., Maybogin A.M. Modeling the atrophy of retinal pigment epithelium. Rossiyskiy oftalmologicheskiy zhurnal = Russian Ophthalmological Journal, 2020, Vol. 13, no. 4, pp. 58-63. (In Russ.)]
- Нероева Н.В., Свитич О.А., Нероев В.В., Кинкулькина А.Р., Балацкая Н.В., Сорожкина Е.С. Изучение локальной экспрессии генов инфламмасомного комплекса при моделировании дегенерации сетчатки in vivo // Медицинская иммунология, 2023. Т. 25, № 3. С. 631-636. [Neroeva N.V., Svitich O.A., Neroev V.V., Kinkulkina A.R., Balatskaya N.V., Sorozhkina E.S. Investigation of local expression of NLRP3 inflammasome complex genes in modeling retinal degeneration in vivo. Meditsinskaya immunologiya = Medical Immunology (Russia), 2023, Vol. 25, no. 3, pp. 631-636. (In Russ.)] doi: 10.15789/1563-0625-IOL-2780.
- Birnbaum F., Böhringer D., Sokolovska Y., Sundmacher R., Reinhard T. Immunosuppression with cyclosporine A and mycophenolate mofetil after penetrating high-risk keratoplasty: a retrospective study. Transplantation, 2005, Vol. 79, no. 8, pp. 964-968.
- Birnbaum F., Mayweg S., Reis A., Böhringer D., Seitz B., Engelmann K., Messmer E.M., Reinhard T. Mycophenolate mofetil (MMF) following penetrating high-risk keratoplasty: long-term results of a prospective, randomised, multicentre study. Eye (Lond)., 2009, Vol. 23, no. 11, pp. 2063-2070.
- Fleckenstein M., Mitchell P., Freund K.B., Sadda S., Holz F.G., Brittain C., Henry E.C., Ferrara D. The progression of geographic atrophy secondary to age-related macular degeneration. Ophthalmology, 2018, Vol. 12, no. 3, pp. 369-390.
- Fujii S., Sugita S., Futatsugi Y., Ishida M., Edo A., Makabe K., Kamao H., Iwasaki Y., Sakaguchi H., Hirami Y., Kurimoto Y., Takahashi M. A strategy for personalized treatment of iPS-retinal immune rejections assessed in cynomolgus monkey models. Int. J. Mol. Sci., 2020, Vol. 21, no. 9, 3077. doi: 10.3390/ijms21093077.
- Georgiou M., Fujinami K., Michaelides M. Inherited retinal diseases: therapeutics, clinical trials and end points-a review. Clin. Exp. Ophthalmol., 2021, Vol. 49, pp. 270-288.
- Ilmarinen T., Hiidenmaa H., Kööbi P., Nymark S., Sorkio A., Wang J.H., Stanzel B.V., Thieltges F., Alajuuma P., Oksala O., Kataja M., Uusitalo H., Skottman H. Ultrathin polyimide membrane as cell carrier for subretinal transplantation of human embryonic stem cell derived retinal pigment epithelium. PloS One, 2015, Vol. 10, no. 11, e0143669. doi: 10.1371/journal.pone.0143669.
- Kiddee W., Trope G.E., Sheng L., Beltran-Agullo L., Smith M., Strungaru M.H., Baath J., Buys Y.M. Intraocular pressure monitoring post intravitreal steroids: a systematic review. Surv. Ophthalmol., 2013, Vol. 58, no. 4, pp. 291-310.
- Rajendran Nair D.S., Zhu D., SharmaR., Martinez Camarillo J.C., Bharti K., Hinton D.R., Humayun M.S., Thomas B.B. Long-term transplant effects of iPSC-RPE monolayer in immunodeficient RCS Rats. Cells, 2021, Vol. 10, no. 11, pp. 29-51.
- Rezai K.A., Farrokh-Siar L., Godowski K., Patel S.C., Ernest J.T. A model for xenogenic immune response. Graefes Arch. Clin. Exp. Ophthalmol., 2000, Vol. 238, no. 4, pp. 352-358.
- Sugita S., Futatsugi Y., Ishida M., Edo A., Takahashi M. Retinal Pigment epithelial cells derived from induced pluripotent stem (iPS) cells suppress or activate T cells via costimulatory signals. Int. J. Mol. Sci., 2020, Vol. 21, no. 18, 6507. doi: 10.3390/ijms21186507.
- Wong W.L., Su X., Li X., Cheung C.M.G., Klein R., Cheng C.-Y., Wong T.Y. Global prevalence of age-related macular degeneration and disease burden projection for 2020 and 2040: a systematic review and meta-analysis. Lancet Glob. Health, 2014, Vol. 2, no.2, pp. e106-e116.
- Zhou R., Caspi R. R. Ocular immune privilege. Biol. Rep., 2010, Vol. 2, 3. doi: 10.3410/B2-3.
- Zierhut M., Stübiger N., Siepmann K., Deuter C.M. MMF and eye disease. Lupus., 2005, Vol. 14, Suppl. 1, pp. 50-54.
Supplementary files
 
				
			 
					 
						 
									
 
  
  
  
  
  Email this article
			Email this article 




 СМИ зарегистрировано Федеральной службой по надзору в сфере связи, информационных технологий и массовых коммуникаций (Роскомнадзор).
 СМИ зарегистрировано Федеральной службой по надзору в сфере связи, информационных технологий и массовых коммуникаций (Роскомнадзор).