Thymus morphological characteristics in acute and chronic colitis in animals with different hypoxia tolerance
- Authors: Dzhalilova D.S.1, Tsvetkov I.S.1, Makarova O.V.1
-
Affiliations:
- Avtsyn Research Institute of Human Morphology, Petrovsky National Research Centre of Surgery
- Issue: Vol 27, No 3 (2024)
- Pages: 413-420
- Section: SHORT COMMUNICATIONS
- Submitted: 31.03.2024
- Accepted: 02.04.2024
- Published: 25.09.2024
- URL: https://rusimmun.ru/jour/article/view/16818
- DOI: https://doi.org/10.46235/1028-7221-16818-TMC
- ID: 16818
Cite item
Full Text
Abstract
Hypoxia is connected with inflammation, and the severity of inflammatory diseases predominantly depends on individual tolerance to oxygen deficiency. Hypoxia-inducible factor, HIF-1, regulates the thymus functional state, and its activity varies in organisms with different hypoxia tolerance. It is likely that differences in individual hypoxia tolerance and the associated HIF-1 functional activity may influence the inflammatory diseases severity, such as acute and chronic ulcerative colitis. The study aim is to characterize the thymus morphological changes during acute and chronic colitis in animals with different hypoxia tolerance. The hypoxia tolerance of male C57Bl/6 mice was determined by “gasping time” at an “altitude” of 10,000 m in a decompression chamber. A month after determining hypoxia tolerance, the animals were modeled as acute colitis by replacing drinking water with a 1.5% dextran sulfate sodium for 5 days; the animals were removed from the experiment on the 7th day. Chronic colitis was modeled by animals consuming a 1% dextran sulfate sodium on days 1-4, 12-14 and 22-26; animals were removed from the experiment on the 60th day. The volume fraction of thymus structural and functional zones was assessed using the point counting method. The relative number of different thymic bodies types was assessed: consisting of 3-5 cells, 5 or more epithelial cells, with keratohyalin deposits and thymic bodies in the form of cyst-like cavities. During acute colitis, in the thymus only in susceptible mice, there was a significant cortex narrowing and an increase in the number of thymic bodies consisting of 5 or more cells. In chronic colitis, only in susceptible animals in comparison with the control group, the cortex volume fraction and the cortex to the medulla ratio increased significantly. In susceptible mice, the number of bodies with keratohyalin increased. In tolerant animals, the indicators did not change. Thus, differences in the thymus response to acute and chronic ulcerative colitis were identified between tolerant and susceptible to hypoxia animals. Only in susceptible mice, in acute colitis, was observed cortex narrowing, but in chronic colitis, cortex hyperplasia. The data obtained must be taken into account when conducting experimental studies of the thymus.
Keywords
Full Text
Введение
Известно, что транскрипционный фактор, индуцируемый гипоксией, – HIF-1 (Hypoxia-Inducible Factor-1), активация которого наблюдается при недостатке кислорода, взаимосвязан с воспалительными процессами, поскольку взаимодействует с ядерным фактором NF-êB (Nuclear Factor-êB), регулирующим воспаление [20, 25]. Повышение активности HIF-1 и NF-êB выявлено, в частности, при таком воспалительном заболевании, как язвенный колит [13, 14]. HIF контролирует функционирование иммунных клеток, и может способствовать как провоспалительному, так и противовоспалительному ответу. В клетках врожденного и адаптивного иммунитета HIF стимулирует гликолиз [28]. HIF-опосредованный гликолиз связан с дифференцировкой и развитием Т- и В-лимфоцитов. В Т-клетках HIF-зависимая индукция гликолиза связана с активацией и дифференцировкой различных подтипов Т-лимфоцитов, а также с влиянием на их цитотоксичность и память [20]. Установлено влияние HIF-1 на Т-регуляторные лимфоциты, дифференцировка которых происходит в тимусе. HIF-1 усиливает опосредованный каспазой-8 апоптоз тимоцитов, что определяет процессы селекции Т-лимфоцитов [7, 18].
Стереотипные реакции тимуса на различные острые и хронические воспалительные заболевания морфологически проявляются акцидентальной инволюцией [17, 19]. В тимусе при акцидентальной инволюции наблюдается прогрессирующее снижение его массы и изменение функциональной активности эпителиальных и лимфоидных клеток [22, 26]. Тяжесть воспалительного процесса, а также исходное генофенотипически обусловленное функциональное состояние иммунной системы определяют выраженность акцидентальной инволюции тимуса.
Организмы различаются по устойчивости к гипоксии, что сопровождается разным уровнем экспрессии HIF-1, активности ферментов антиоксидантной защиты, белков теплового шока и др. [4, 10, 11, 12, 24]. Ранее нами показано, что как острый, так и хронический колит протекает тяжелее у низкоустойчивых (НУ) к гипоксии мышей по сравнению с высокоустойчивыми (ВУ) [2, 3]. Это может быть обусловлено особенностями реакций иммунной системы, поэтому целью данного исследования было охарактеризовать морфологические изменения тимуса при остром и хроническом колите у ВУ и НУ к гипоксии мышей.
Материалы и методы
Исследование выполнено на самцах мышей C57Bl/6 (n = 80) в возрасте 1,5-2 месяца, массой тела 20-25 г, с соблюдением принципов Европейской конвенции о защите позвоночных животных, используемых для экспериментов (ETS 123, Страсбург, 1986), и директивы Европейского парламента и Совета Европейского Союза (2010/63/EU, Страсбург, 2010). На проведение экспериментов было получено разрешение биоэтической комиссии ФГБНУ НИИМЧ им. акад. А.П. Авцына № 33 (9) от 7 февраля 2022 г.
Для определения устойчивости к недостатку кислорода мышей помещали в вентилируемую барокамеру в условия, соответствующие критической «высоте» 10 000 м [29], скорость подъема составила 80 м/с, температура окружающей среды 20-22°C. Определяли «время жизни» мышей в барокамере, которое соответствует времени от момента подъема животного на «высоту» до принятия им бокового положения. Мышей, «время жизни» которых было более 10 минут (n = 30), определяли как ВУ к гипоксии, а тех, у которых «время жизни» было менее 3 минут (n = 22), – как НУ. Среднеустойчивых к недостатку кислорода животных со «временем жизни» от 3 до 10 минут в эксперименты не включали.
Мышам проводили моделирование острого и хронического язвенного колита через один месяц после определения устойчивости к недостатку кислорода [5]. В опытные группы включали 20 ВУ и 12 НУ к гипоксии животных (ВОК и НОК). Острый колит [23] моделировали путем замены питьевой воды на 5 суток на 1,5%-ный водный раствор декстрансульфата натрия (ДСН, Mr 40 кДа). ВУ и НУ к гипоксии мыши контрольных групп (ВК и НК) получали питьевую воду. Животных выводили из эксперимента под эфирным наркозом на 7-е сутки путем цервикальной дислокации. Хронический язвенный колит [21] моделировали с использованием 1%-ного водного раствора ДСН. Опытные группы ВУ и НУ к гипоксии мышей (ВХК и НХК) вместо питьевой воды получали ДСН на 1-4-е, 12-14-е и 22-26-е сутки. ВК и НК к гипоксии животные получали питьевую воду в течение всего исследования. Животных выводили из эксперимента под эфирным наркозом на 60-е сутки путем цервикальной дислокации. Проводили забор тимуса, фиксировали его в жидкости Буэна. После гистологической проводки готовили срезы, окрашивали их гематоксилином и эозином. Под световым микроскопом Leica DM2000 (Германия) при увеличении 200× на гистологических препаратах тимуса в пяти полях зрения оценивали объемную долю структурно-функциональных зон методом точечного счета [1], при увеличении 400× анализировали соотношение тимических телец разных типов: состоящих из 3-5 клеток, из 5 и более эпителиальных клеток, с кератогиалином и тимических телец в виде кистоподобных полостей.
Полученные данные обрабатывали в программе «Statistica 8.0», для определения характера распределения показателей использовали критерий Колмогорова–Смирнова. Показатели были распределены ненормально, поэтому достоверность различий между ними определяли с помощью непараметрических критериев Манна–Уитни, Краскела–Уоллиса и Данна. Данные выражали в виде медианы и интерквартильного размаха Me (Q0,25-Q0,75)%. Различия считали статистически значимыми при p < 0,05.
Результаты и обсуждение
Ранее нами показано, что на 7-е сутки после потребления 1,5%-ного водного раствора ДСН в течение 5 суток у ВУ и НУ к гипоксии мышей C57Bl/6 развивается острый катарально-язвенный колит, при этом его течение более тяжелое у НУ животных [2]. Известно, что воспалительный процесс в ободочной кишке при остром катарально-язвенном колите сочетается с системными проявлениями воспалительного ответа, а также реактивными изменениями в центральных и периферических органах иммунной системы [6, 15].
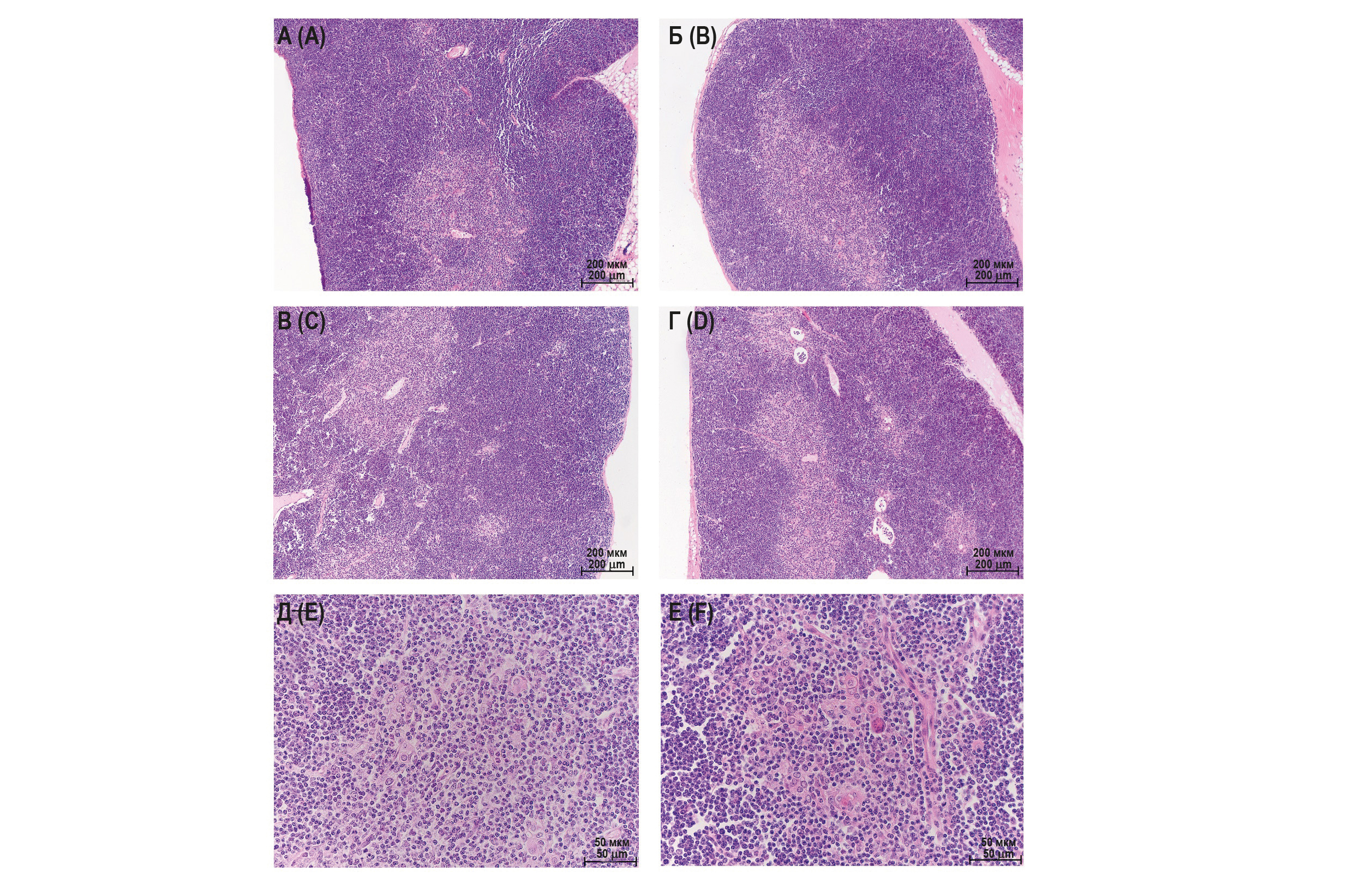
Нами показано, что в тимусе только у НОК к гипоксии мышей наблюдалось статистически значимое сужение коркового вещества (рис. 1, см. 2-ю стр. обложки; табл. 1). Количество и размеры тимических телец служат показателем их высокой секреторной активности, а также гибели тимоцитов [27]. По нашим данным при анализе тимических телец выявлено увеличение количества телец, состоящих из 5 и более клеток, что может свидетельствовать о гибели тимоцитов и более выраженной функциональной активности эпителиальных клеток мозгового вещества тимуса. Ранее нами показано [2], что при остром колите у НУ к гипоксии мышей наблюдается выраженное снижение различных субпопуляций лимфоцитов в крови, что свидетельствует о развитии иммунодефицита. Таким образом, более тяжелое течение острого язвенного колита у НУ к гипоксии мышей по сравнению с ВУ сопровождается более выраженной реакцией тимуса.
Таблица 1. Морфометрические показатели объемной доли структурно-функциональных зон тимуса и относительного количества тимических телец у ВК и НК, ВОК и НОК к гипоксии самцов мышей C57Bl/6
Table 1. Morphometric indicators of the volume fraction of structural and functional zones of the thymus and the relative number of thymic bodies during acute colitis in tolerant (T) and susceptible (S) to hypoxia male C57Bl/6 mice
Группы Groups Показатели, % Indicators, % | Контроль Control | Острый колит Acute colitis | р | |||
ВК1 T1 | НК2 S2 | ВОК3 T3 | НОК4 S4 | |||
Корковое вещество Cortex | 69,60 (65,02-71,97) | 68,47 (62,38-74,46) | 65,80 (60,31-69,76) | 59,93 (58,34-62,15) | 0,261-3 0,042-4 0,891-2 0,093-4 | |
Мозговое вещество Medulla | 32,50 (29,38-35,15) | 31,53 (25,54-37,62) | 34,20 (30,24-39,69) | 40,07 (37,85-41,66) | 0,611-3 0,042-4 0,891-2 0,093-4 | |
Отношение объемной плотности коркового вещества к мозговому Ratio of the cortex to the medulla volume fraction | 2,52 (1,96-2,91) | 2,42 (1,89-3,07) | 2,07 (1,63-2,43) | 1,66 (1,51-1,86) | 0,261-3 0,032-4 0,891-2 0,183-4 | |
Доля от общего количества тимических телец Proportion of the total number of thymic bodies | из 3-5 эпителиальных клеток of 3-5 epithelial cells | 47,2 (42,6-49,8) | 54,2 (45,8-59,6) | 37,2 (29,3-46,3) | 28,2 (21,5-34,7) | 0,191-3 0,012-4 0,231-2 0,153-4 |
из 5 и более эпителиальных клеток of 5 or more epithelial cells | 11,8 (9,6-15,6) | 15,5 (13,6-20,8) | 19,9 (13,0-29,1) | 23,0 (22,5-29,3) | 0,201-3 0,012-4 0,201-2 0,493-4 | |
с кератогиалином with keratohyalin | 36,9 (31,6-40,6) | 28,8 (25,9-32,3) | 34,2 (25,7-38,4) | 37,9 (25,8-47,6) | 0,481-3 0,352-4 0,061-2 0,593-4 | |
в виде кистоподобных полостей in the form of cyst-like cavities | 0,0 (0,0-9,1) | 0,0 (0,0-5,4) | 6,2 (3,8-13,9) | 6,0 (0,0-16,8) | 0,521-3 0,242-4 0,711-2 0,943-4 | |
Ранее показано [26], что у половозрелых мышей C57Bl/6 при экспериментальном остром язвенном колите, индуцированном ДСН, на 7-е сутки его развития снижается масса тимуса, кроме того, в нем уменьшается число тимоцитов, при этом у мышей BALB/c инволюция тимуса не выявляется. По данным [6] у мышей C57Bl/6 острый катарально-язвенный колит сопровождается умеренной акцидентальной инволюцией тимуса, проявляющейся опустошением коркового вещества и уменьшением его объемной доли, увеличением числа тимических телец с кератогиалином и их гиперплазией, а также появлением тимических телец в виде кистоподобных полостей. Однако в данных работах не учитывалась индивидуальная устойчивость к гипоксии. По нашим данным, при остром колите не наблюдалось изменений функциональных зон тимуса у ВУ к гипоксии мышей, что важно учитывать для оценки индивидуальных реакций животных при воспалительных заболеваниях.
Показано [9], что при остром колите, вызванном ДСН, в тимусе наблюдается выраженная акцидентальная инволюция и гибель Т-лимфоцитов, но при переходе воспаления в хроническое, через 3 недели после завершения цикла потребления ДСН, структура функциональных зон тимуса восстанавливается.
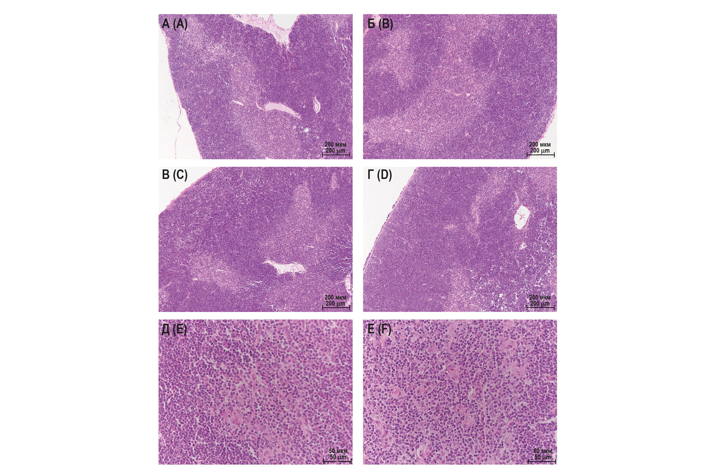
По нашим данным, только у НХК к гипоксии животных по сравнению с НК статистически значимо увеличивалась объемная доля коркового вещества и отношение коркового вещества к мозговому. У ВХК к гипоксии мышей показатели не изменялись (рис. 2, см. 3-ю стр. обложки; табл. 2). У НХК к гипоксии мышей увеличивалось количество тимических телец с кератогиалином (рис. 2, см. 3-ю стр. обложки; табл. 2).
Таблица 2. Морфометрические показатели объемной доли структурно-функциональных зон тимуса и относительного количества тимических телец у ВК и НК, ВХК и НХК к гипоксии самцов мышей C57Bl/6
Table 2. Morphometric indicators of the volume fraction of structural and functional zones of the thymus and the relative number of thymic bodies during chronic colitis in tolerant (T) and susceptible (S) to hypoxia male C57Bl/6 mice
Группы Groups Показатели, % Indicators, % | Контроль Control | Хронический колит Chronic colitis | р | |||
ВК1 T1 | НК2 S2 | ВХК3 T3 | НХК4 S4 | |||
Корковое вещество Cortex | 70,1 (61,7-71,4) | 63,3 (58,3-65,9) | 67,8 (65,3-78,8) | 73,7 (68,1-77,9) | 0,991-3 0,022-4 0,191-2 0,483-4 | |
Мозговое вещество Medulla | 30,0 (28,6-38,3) | 36,7 (34,1-41,7) | 32,2 (21,2-34,8) | 26,3 (22,1-31,9) | 0,991-3 0,022-4 0,191-2 0,483-4 | |
Отношение объемной плотности коркового вещества к мозговому Ratio of the cortex to the medulla volume fraction | 2,8 (1,7-11,4) | 2,1 (1,7-2,7) | 3,1 (2,6-4,8) | 4,2 (3,2-5,2) | 0,761-3 0,022-4 0,561-2 0,353-4 | |
Доля от общего количества тимических телец Proportion of the total number of thymic bodies | из 3-5 эпителиальных клеток of 3-5 epithelial cells | 56,4 (51,4-62,8) | 66,7 (64,4-72,9) | 45,0 (33,9-52,1) | 28,2 (23,6-36,7) | 0,071-3 0,032-4 0,061-2 0,113-4 |
из 5 и более эпителиальных клеток of 5 or more epithelial cells | 16,7 (14,9-21,8) | 20,8 (16,7-26,7) | 16,7 (11,1-30,3) | 23,0 (22,7-31,5) | 0,991-3 0,602-4 0,311-2 0,443-4 | |
с кератогиалином with keratohyalin | 16,6 (11,3-24,1) | 8,7 (8,3-10,6) | 33,3 (22,3-38,9) | 28,6 (25,7-42,5) | 0,061-3 0,032-4 0,061-2 0,903-4 | |
в виде кистоподобных полостей in the form of cyst-like cavities | 7,7 (1,8-14,6) | 0,0 (0,0-4,2) | 7,1 (2,5-19,6) | 10,7 (2,1-24,7) | 0,951-3 0,142-4 0,141-2 0,613-4 | |
Выявленная нами у НХК к гипоксии мышей гиперплазия коркового вещества согласуется с данными [6]. Обнаруженные нами при морфологическом и морфометрическом исследовании изменения тимуса у НХК к гипоксии животных свидетельствуют о восстановлении коркового вещества за счет активации процессов пролиферации и дифференцировки Т-лимфоцитов, что по данным литературы [19] сопровождает хронический воспалительный процесс, индуцированный подкожным введением липополисахарида с частицами сефарозы.
Сужение коркового вещества при остром колите и его гиперплазия при хроническом, а также увеличение числа тимических телец, состоящих из 5 и более клеток и с накоплением кератогиалина, наблюдающиеся только у НУ к гипоксии мышей, могут быть обусловлены высоким исходным уровнем экспрессии HIF-1 у этих животных [4, 8].
Заключение
Таким образом, нами выявлены различия реакции тимуса на развитие острого и хронического язвенного колита между ВУ и НУ к гипоксии животными. Только у НУ к гипоксии мышей при остром колите наблюдается сужение коркового вещества, свидетельствующее о развитии акцидентальной инволюции, а при хроническом колите – гиперплазия коркового вещества тимуса. Полученные данные необходимо учитывать при проведении экспериментальных исследований тимуса.
Публикация размещена при участии Балтийского федерального университета им. И. Канта.
Иллюстрации к статье «МОРФОЛОГИЧЕСКАЯ ХАРАКТЕРИСТИКА ТИМУСА ПРИ ОСТРОМ И ХРОНИЧЕСКОМ КОЛИТЕ У ЖИВОТНЫХ С РАЗНОЙ УСТОЙЧИВОСТЬЮ К ГИПОКСИИ» (АВТОРЫ: Джалилова Д.Ш., Цветков И.С., Макарова О.В. [с. 413-420])
ILLUSTRATIONS FOR THE ARTICLE "THYMUS MORPHOLOGICAL CHARACTERISTICS IN ACUTE AND CHRONIC COLITIS IN ANIMALS WITH DIFFERENT HYPOXIA TOLERANCE" (AuthorS: Dzhalilova D.Sh., Tsvetkov I.S., Makarova O.V. [pp. 413-420])
Рисунок 1. Морфологическая характеристика тимуса у ВК (А) и НК (Б), ВОК (А, В, Д) и НОК (Б, Г, Е) мышей C57Bl/6
Примечание. А, Б – контрольные группы мышей, корковое вещество плотно заселено лимфоцитами, границы между корковым и мозговым веществом четкие. В – острый колит, границы коркового и мозгового вещества очагово-нечеткие. Г – острый колит, острая акцидентальная инволюция, сужение коркового вещества, тимические тельца в виде кистоподобных полостей в корковом веществе и на границе коркового и мозгового вещества. Д, Е – острый колит, тимические тельца из эпителиальных клеток. Окраска гематоксилином и эозином.
Figure 1. Morphological characteristics of the thymus in adult male C57Bl/6 mice with different tolerance to hypoxia in control groups (A, B) and with acute ulcerative colitis (C-F)
Note. A, C, E, tolerant to hypoxia. B, D, F, susceptible to hypoxia. A, B, control groups, the cortex is densely populated with lymphocytes, the boundaries between the cortex and medulla are clear. C, acute colitis, the boundaries of the cortex and medulla are focally indistinct. D, acute colitis, acute involution, narrowing of the cortex, thymic bodies in the form of cyst-like cavities in the cortex and at the border of the cortex and medulla. E, F, acute colitis, thymic bodies formed by epithelial cells. Hematoxylin and eosin staining.
Рисунок 2. Морфологическая характеристика тимуса у ВК (А) и НК (Б), ВХК (А, В, Д) и НХК (Б, Г, Е) мышей C57Bl/6
Примечание. А, Б – контрольные группы мышей, корковое вещество плотно заселено лимфоцитами, границы между корковым и мозговым веществом четкие. В – хронический колит, границы коркового и мозгового вещества очагово-нечеткие. Г – хронический колит, гиперплазия коркового вещества, тимическое тельце в виде кистоподобной полости в корковом веществе. Д, Е – хронический колит, тимические тельца из эпителиальных клеток. Окраска гематоксилином и эозином.
Figure 2. Morphological characteristics of the thymus in adult male C57Bl/6 mice with different tolerance to hypoxia in control groups (A, B) and with chronic ulcerative colitis (C-F)
Note. A, C, E, tolerant to hypoxia. B, D, F, susceptible to hypoxia. A, B, control groups, the cortex is densely populated with lymphocytes, the boundaries between the cortex and medulla are clear. C, chronic colitis, the boundaries of the cortex and medulla are focally indistinct. D, chronic colitis, hyperplasia of the cortex, thymic body in the form of a cyst-like cavity in the cortex. E, F, chronic colitis, thymic bodies formed by epithelial cells. Hematoxylin and eosin staining.
About the authors
D. Sh. Dzhalilova
Avtsyn Research Institute of Human Morphology, Petrovsky National Research Centre of Surgery
Author for correspondence.
Email: juliajal93@mail.ru
PhD (Biology), Leading Research Associate, Laboratory of Immunomorphology of Inflammation
Russian Federation, MoscowI. S. Tsvetkov
Avtsyn Research Institute of Human Morphology, Petrovsky National Research Centre of Surgery
Email: juliajal93@mail.ru
PhD (Biology), Senior Research Associate, Laboratory of Immunomorphology of Inflammation
Russian Federation, MoscowO. V. Makarova
Avtsyn Research Institute of Human Morphology, Petrovsky National Research Centre of Surgery
Email: juliajal93@mail.ru
PhD, MD (Medicine), Professor, Chief Research Associate, Head of the Laboratory of Immunomorphology of Inflammation
Russian Federation, MoscowReferences
- Автандилов Г.Г. Морфометрия в патологии. М.: Медицина, 1973. 248 с. [Avtandilov G.G. Morphometry in pathology]. Moscow: Meditsina, 1973. 248 p.
- Джалилова Д.Ш., Полякова М.А., Диатроптов М.Е., Золотова Н.А., Макарова О.В. Морфологические изменения толстой кишки и состав лимфоцитов периферической крови при остром колите у мышей с разной устойчивостью к гипоксии // Молекулярная медицина, 2018. Т. 28, № 6. C. 46-50. [Dzhalilova D. Sh., Polyakova M.A., Diatroptov M.E., Zolotova N.A., Makarova O.V. Morphological changes in the colon and the composition of peripheral blood lymphocytes during acute colitis in mice with different resistance to hypoxia. Molekulyarnaya medicina = Molecular Medicine, 2018, Vol. 28, no. 6, pp. 46-50. (In Russ.)]
- Джалилова Д.Ш., Золотова Н.А., Полякова М.А., Диатроптов М.Е., Добрынина М.Т., Макарова О.В. Морфологические особенности воспалительного процесса и субпопуляционный состав лимфоцитов периферической крови при хроническом колите у мышей с разной устойчивостью к гипоксии // Клиническая и экспериментальная морфология, 2018. Т. 28, № 4. С. 13-19. [Dzhalilova D.Sh., Zolotova N.A., Polyakova M.A., Diatroptov M.E., Dobrynina M.T., Makarova O.V. Morphological features of the inflammatory process and subpopulation composition of peripheral blood lymphocytes in chronic colitis in mice with different resistance to hypoxia. Klinicheskaya i eksperimentalnaya morfologiya = Clinical and Experimental Morphology, 2018, Vol. 28, no. 4, pp. 13-19. (In Russ.)]
- Кирова Ю.И., Германова Э.Л., Лукьянова Л.Д. Фенотипические особенности динамики содержания HIF-1α в неокортексе крыс при различных режимах гипоксии // Бюллетень экспериментальной биологии и медицины. 2012. Т. 154, № 12. С. 681-686. [Kirova Yu.I., Germanova E.L., Lukyanova L.D. Phenotypic features of the dynamics of HIF-1α levels in rat neocortex in different hypoxia regimens. Byulleten eksperimentalnoy biologii i meditsiny = Bulletin of Experimental Biology and Medicine,2013, Vol. 154, pp. 718-722 (In Russ.)]
- Лукьянова Л.Д., Кирова Ю.И. Влияние гипоксического прекондиционирования на свободнорадикальные процессы в тканях крыс с различной толерантностью к гипоксии // Бюллетень экспериментальной биологии и медицины, 2011. Т. 151, № 3. С. 263-268. [Lukyanova L.D., Kirova Yu.I. Effect of hypoxic preconditioning on free radical processes in tissues of rats with different resistance to hypoxia. Byulleten eksperimentalnoy biologii i meditsiny = Bulletin of Experimental Biology and Medicine, 2011, Vol. 151, no. 3, pp. 292-296. (In Russ.)]
- Постовалова Е.А., Макарова О.В., Косырева А.М., Михайлова Л.П. Морфология тимуса и особенности его клеточного состава при экспериментальном остром и хроническом язвенном колите // Архив патологии, 2019. T. 81, № 5. C. 53-63. [Postovalova E.A., Makarova O.V., Kosyreva A.M., Mikhailova L.P. Morphology of the thymus and the specific features of its cellular composition in experimental acute and chronic ulcerative colitis. Arkhiv patologii = Archive of Pathology, 2019, Vol. 81, no. 5, pp. 53-63. (In Russ.)]
- Biju M.P., Neumann A.K., Bensinger S.J., Johnson R.S., Turka L.A., Haase V.H. Vhlh gene deletion induces Hif-1-mediated cell death in thymocytes. Mol. Cell. Biol., 2004, Vol. 20, pp. 9038-9047.
- Dzhalilova D.S., Kosyreva A.M., Diatroptov M.E., Ponomarenko E.A., Tsvetkov I.S., Zolotova N.A., Mkhitarov V.A., Khochanskiy D.N., Makarova O.V. Dependence of the severity of the systemic inflammatory response on resistance to hypoxia in male Wistar rats. J. Inflamm. Res., 2019, Vol. 11, no. 12, pp. 73-86.
- Fredin M.F., Elgbratt K., Svensson D., Jansson L., Melgar S., Hörnquist H.E. Dextran sulfate sodium-induced colitis generates a transient thymic involution – impact on thymocyte subsets. Scand. J. Immunol., 2007, Vol. 65, pp. 421-429.
- Ghosh D., Kumar R., Pal K. Individual variation in response to simulated hypoxic stress of rats. Ind. J. Exp. Biol., 2012, Vol. 50, no. 10, pp. 744-748.
- Jain K., Suryakumar G., Prasad R., Ganju L. Differential activation of myocardial ER stress response: a possible role in hypoxic tolerance. Int. J. Cardiol., 2013, Vol. 168, no. 5, pp. 4667-4677.
- Jain K., Suryakumar G., Ganju L., Singh S.B. Differential hypoxic tolerance is mediated by activation of heat shock response and nitric oxide pathway. Cell Stress Chaperones, 2014, Vol. 19, no. 6, pp. 801-812.
- Karhausen J., Furuta G.T., Tomaszewski J.E., Johnson R.S., Colgan S.P., Haase V.H. Epithelial hypoxia-inducible factor-1 is protective in murine experimental colitis. J. Clin. Invest., 2004, Vol. 114, no. 8, pp. 1098-1106.
- Kerber E.L., Padberg C., Koll N., Schuetzhold V., Fandrey J., Winning S. The importance of Hypoxia-Inducible Factors (HIF-1 and HIF-2) for the pathophysiology of inflammatory bowel disease. Int. J. Mol. Sci., 2020, Vol. 21, no. 22, 8551. doi: 10.3390/ijms21228551.
- Kim J.J., Shajib M.S., Manocha M.M., Khan W.I. Investigating intestinal inflammation in DSS-induced model of IBD. J. Vis. Exp., 2012, Vol. 60, 3678. doi: 10.3791/3678.
- Kim S., Kim Y.K., Lee H., Cho J.E., Kim H.Y., Uh Y., Kim Y.M., Kim H., Cho S.N., Jeon B.Y., Lee H. Interferon gamma mRNA quantitative real-time polymerase chain reaction for the diagnosis of latent tuberculosis: a novel interferon gamma release assay. Diagn. Microbiol. Infect. Dis., 2013, Vol. 75, no.1, pp. 68-72.
- Kosyreva A.M., Simonova E.Yu., Makarova O.V. Gender differences in pulmonary and immune response in acute experimental endotoxicosis. Bull. Exp. Biol. Med., 2012, Vol 153, no. 3, pp. 340-342.
- Krzywinska E., Stockmann C. Hypoxia, metabolism and immune cell function. Biomedicines, 2018. Vol. 6, no. 2, 56. doi: 10.3390/biomedicines6020056.
- Makarova O.V., Diatroptov M.E., Serebryakov S.N., Malaitsev V.V., Bogdanova I.M. Morphological and functional changes in the immune system of BALB/c and C57BL/6 mice in chronic bacterial gram-negative endotoxicosis. Arkhiv patologii, 2012, Vol. 74, no. 3, pp. 43-48.
- McGettrick A.F., O’Neill L.A. J. The role of HIF in immunity and inflammation. Cell Metab., 2020, Vol. 32, no. 4, pp. 524-536.
- Melgar S., Karlsson A., Michaëlsson E. Acute colitis induced by dextran sulfate sodium progresses to chronicity in C57BL/6 but not in BALB/c mice: correlation between symptoms and inflammation. Am. J. Physiol. Gastrointest. Liver Physiol., 2005, Vol. 288, no. 6, pp. 1328-1338.
- Meunier M., Bazeli R., Feydy A., Drape J.L., Kahan A., Allanore Y. Incomplete thymic involution in systemic sclerosis and rheumatoid arthritis. Joint Bone Spine. 2013, Vol. 80, no. 1, pp. 48-51.
- Okayasu I., Hatakeyama S., Yamada M., Ohkusa T., Inagaki Y., Nakaya R. A novel method in the induction of reliable experimental acute and chronic ulcerative colitis in mice. Gastroenterology, 1990, Vol. 98, no, 3, pp. 694-702.
- Padhy G., Sethy N.K., Ganju L., Bhargava K. Abundance of plasma antioxidant proteins confers tolerance to acute hypobaric hypoxia exposure. High Alt. Med. Biol., 2013, Vol. 14, no. 3, pp. 289-297.
- Rius J., Guma M., Schachtrup C., Akassoglou K., Zinkernagel A.S., Nizet V., Johnson R.S., Haddad G.G., Karin M. NF-kappaB links innate immunity to the hypoxic response through transcriptional regulation of HIF-1alpha. Nature, 2008, Vol. 453, pp. 807-811.
- Sasaki S., Ishida Y., Nishio N., Ito S., Isobe K. Thymic involution correlates with severe ulcerative colitis induced by oral administration of dextran sulphate sodium in C57BL/6 mice but not in BALB/c Mice. Inflammation, 2008. Vol. 31, no. 5, pp. 319-328.
- Sharma H., Moroni L. Recent advancements in regenerative approaches for thymus rejuvenation. Adv. Sci. (Weinh), 2021, Vol. 8, no. 14, 2100543. doi: 10.1002/advs.202100543.
- Taylor C.T., Scholz C.C.. The effect of HIF on metabolism and immunity. Nat. Rev. Nephrol., 2022, Vol. 18, no. 9, pp. 573-587.
- Vedunova M.V., Sakharnova T.A., Mitroshina E.V., Shishkina T.V., Astrakhanova T.A., Mukhina I.V. Antihypoxic and neuroprotective properties of BDNF and GDNF in vitro and in vivo under hypoxic conditions. STM, 2014, Vol. 6, no. 4, pp. 38-47.
Supplementary files





