Morphological changes in purulent wound defect of the oral mucosa when using a non-woven polymer membrane with vancomycin (experimental study)
- Authors: Sagdullaeva S.A.1, Varakuta E.Y.1, Shtyr A.V.1
-
Affiliations:
- Siberian State Medical University
- Issue: Vol 27, No 4 (2024)
- Pages: 1091-1096
- Section: SHORT COMMUNICATIONS
- Submitted: 16.04.2024
- Published: 25.10.2024
- URL: https://rusimmun.ru/jour/article/view/16956
- DOI: https://doi.org/10.46235/1028-7221-16956-MCI
- ID: 16956
Cite item
Full Text
Abstract
Currently, the problem of effective treatment of purulent wounds of the oral mucosa is relevant, scientists are improving dressing materials, creating new coatings. The study tested for the first time a non-woven polymer membrane from a copolymer of vinylidene fluoride with tetrafluoroethylene with Vancomycin, presumably which will meet the requirements of an ideal dressing material.
The purpose of the study is to determine the effect of a non-woven polymer membrane with Vancomycin on the regeneration of a purulent wound defect of the oral mucosa in experiment.
35 white Wistar rats were divided into three groups: first group (n = 15), in which the wound defect was left open according to the standard procedure of the wound process in the oral cavity; second group (n = 15), in which the wound defect was covered with a non-woven polymer membrane with Vancomycin; third group (served as control group), in which the rats had intact oral mucosa (n = 5). Tissue samples were collected from the area of the purulent wound on the 3rd, 7th and 14th days of the study and histological sections were prepared using a standard procedure. The indicators were calculated using the AxioVision SE64 Rel program. 4.9.1: area of loose fibrous connective tissue (%), cellular infiltration (%), granulation tissue (%).The statistical analysis of the obtained data was performed using Mann–Whitney and Wilcoxon tests in Statistica 8.0 (StatSoft, USA) software. Differences were considered statistically significant at p < 0.05.
It has been established that the non-woven polymer membrane from a copolymer of vinylidene fluoride with tetrafluoroethylene with Vancomycin has a beneficial effect on the regeneration of the oral mucosa in the postoperative period and reduces scar changes in the later stages of healing.
Full Text
Введение
В настоящее время остается актуальной проблема лечения гнойной раны слизистой оболочки полости рта [9]. Не прекращаются разработки материалов для оптимизации лечения гнойных раневых дефектов, которые обеспечивают: механическую защиту [6], дренирование раны [3], высвобождение антибактериальных препаратов [4], антиоксидантную активность [7]. Предположительно, что нетканая мембрана на основе сополимера винилиденфторида с тетрафторэтиленом в комбинации с Ванкомицином будет отвечать всем требованиям идеального перевязочного материала [8].
Цель исследования – изучить влияние нетканой мембраны на основе сополимера винилиденфторида с тетрафторэтиленом в комбинации с Ванкомицином на регенерацию гнойного раневого дефекта слизистой оболочки щеки в эксперименте.
Материалы и методы
Эксперимент проводился на 35 трехмесячный крысах-самцах линии Wistar, разделенных на равные группы методом блочной рандомизации: экспериментальную № 1 (n = 15), которым раневой дефект оставляли открытым согласно стандартному ведению раневого процесса в полости рта; экспериментальную № 2 (n = 15), которым раневой дефект перекрывали полимерной матрицей на основе винилиденфторида с тетрафторэтиленом в комбинации с Ванкомицином; № 3 контрольная (n = 5) – крысы с интактной слизистой оболочкой. Забор материала проводили у 5 животных из каждой экспериментальной группы на 3-и, 7-е и 14-е сутки исследования. Расчет объема выборки проводили с использованием программы G*Power [2] и руководствуясь концепцией трех R [5]. Животным экспериментальных групп моделировали гнойное воспаление путем контаминации раны раствором взвеси Staphylococcus aureus в дозе 1 × 106 микробных тел в 1 мл физиологического раствора [1]. 1-й группе проводили только первичную хирургическую обработку раны, без последующего лечения. Крысам 2-й группы проводили хирургическую обработку раны с наложением полимерной пьезоэлектрической матрици на основе винилиденфторида с тетрафторэтиленом в комбинации с Ванкомицином. Животных содержали в стандартных условиях вивария, регламентированных требованиями Постановления Главного государственного санитарного врача Российской Федерации от 29.08.2014 № 51 «Санитарно-эпидемиологические требования к устройству, оборудованию и содержанию экспериментально-биологических клиник (вивариев)». Работа выполнена на базе ФГБОУ ВО СибГМУ Министерства здравоохранения Российской Федерации и одобрена IACUC (Регистрационный номер: 22/2022 от 16.12.2022). Образцы тканей собирали из области гнойного раневого дефекта с захватом тканей с периферии (отступ 5 мм) и готовили гистологические срезы толщиной 5 мкм в соответствии со стандартной процедурой. Гистологические срезы окрашивали гематоксилином и эозином. В программе AxioVision SE64 Rel. 4.9.1 проводили подсчет следующих показателей: относительная площадь рыхлой волокнистой соединительной ткани (РВСТ) %, клеточной инфильтрации (КИ) %, грануляционной ткани (ГТ) %. Макроскопически фиксировали длину и ширину дефекта с помощью штангенциркуля, вычисляли площадь (мм2). Обработку результатов проводили в программе Statistica 8, StatSoft, СШАс помощью критериев Вилкоксона и Манна–Уитни. Результаты считали достоверными при р < 0,05. Результаты представлены в виде Me (Q0,25-Q0,75), где Me – медиана, Q0,25 и Q0,75 – нижний и верхний квартили соответственно.
Результаты и обсуждение
К 3-м суткам макроскопически в 1-й группе определялся язвенный дефект размером 11,2 (11,1-14,3) мм2, покрытый налетом, после удаления которого определялась кровоточащая раневая поверхность. Во 2-й группе после удаления мембраны поверхность раны была чистая без налета, имела бугристый вид, размер дефекта составлял 9,9 (9,0-10,8) мм2 и достоверно не отличался от показателя в 1-й группе. Микроскопически в экспериментальных группах в очаге воспаления РВСТ не определялась. Относительная площадь ГТ во 2-й группе составляла 16,0 (14,5-17,0) %, что было достоверно в 1,7 раза больше данного показателя в 1-й группе (р < 0,05). Статистически значимых отличий КИ между 1-й и 2-й группами не обнаруживалось, и они составляли 62,1 (59,8- 73,1) % и 63,4 (41,2-65,9) % соответственно (р > 0,05), что достоверно больше данного показателя в контрольной группе (р < 0,05) (табл. 1).
ТАБЛИЦА 1. УДЕЛЬНАЯ ПЛОЩАДЬ ГРАНУЛЯЦИОННОЙ ТКАНИ, РЫХЛОЙ ВОЛОКНИСТОЙ СОЕДИНИТЕЛЬНОЙ ТКАНИ, КЛЕТОЧНОЙ ИНФИЛЬТРАЦИИ В ОБЛАСТИ ГНОЙНОГО РАНЕВОГО ДЕФЕКТА В ЗАВИСИМОСТИ ОТ МЕТОДИКИ ЛЕЧЕНИЯ НА 3-И, 7-Е И 14-Е СУТКИ ИССЛЕДОВАНИЯ
TABLE 1. AREA OF GRANULATION TISSUE, LOOSE FIBROUS CONNECTIVE TISSUE, CELLULAR INFILTRATION IN THE AREA OF A PURULENT WOUND DEFECT, DEPENDING ON THE TREATMENT METHOD ON THE 3RD, 7TH AND 14TH DAYS OF THE STUDY
Сутки исследования Research days | Группы Groups | Удельная площадь грануляционной ткани, ٪ Area of granulation tissue, % | Удельная площадь рыхлой волокнистой соединительной ткани, ٪ Area of loose fibrous connective tissue, % | Удельная площадь клеточной инфильтрации, ٪ Area of cellular infiltration, % |
3-и сутки 3rd day | № 1 (n = 5) No. 1 (n = 5) | 9,7 (9,5-11,5)# * | – | 62,1 (59,8-73,1)* |
№ 2 (n = 5) No. 2 (n = 5) | 16,0 (14,5-17,0)# * | – | 63,4 (41,2-65,9)* | |
7-е сутки 7th day | № 1 (n = 5) No. 1 (n = 5) | 31,1 (27,0-31,4)# * | 7,9 (7,2-8,7)# * | 52,7 (44,0-54,8)# * |
№ 2 (n = 5) No. 2 (n = 5) | 63,7 (56,3-67,2)# * | 16,0 (15,7-18,3)# * | 18,1 (17,1-25,9)# * | |
14-е сутки 14th day | № 1 (n = 5) No. 1 (n = 5) | 20,3 (18,1-25,1)# * | 58,1 (53,8-61,9)# * | 20,8 (17,4-22,7)# * |
№ 2 (n = 5) No. 2 (n = 5) | 2,7 (0,3-4,5)# * | 96,3 (95,3-97,8)# | 0,8 (0,0-1,7)# | |
Контрольная № 3 (n = 5) Control No. 3 (n = 5) | – | 99,7 (99,1-99,9) | 0,3 (0,1-0,9) |
Примечание. # – достоверность отличия показателей группы 1 от группы 2, р < 0,05; * – достоверность отличия показателей группы 3 от групп 1 и 2, р < 0,05.
Note. #, reliability of the difference between the indicators of group 1 from group 2, р < 0.05; *, reliability of the difference between the indicators of group 3 from group 1 and 2, р < 0.05.
Макроскопически на 7-е сутки в 1-й группе определялся дефект с гиперемированным, бугристым дном, площадью 6,7 (6,2-6,8) мм2. Во 2-й группе площадь гиперемии по периферии очага воспаления уменьшалась, размер дефекта был равен 5,4 (4,0-5,4) мм2, что статистически значимо меньше показателя в 1-й группе (р < 0,05). Микроскопически относительная площадь РВСТ значимо увеличивалась в 1-й и 2-й группах и составляла 7,9 (7,2-8,7) % и 16,0 (15,7-18,3) % соответственно, по сравнению с данными на 3-и сутки (р < 0,05). При этом площадь РВСТ во 2-й группе была статистически значимо больше, чем в 1-й (р < 0,05). Площадь ГТ достоверно увеличивалась в 1-й и 2-й группах в 3,2 и 4 раза соответственно по сравнении с 3-ми сутками (р < 0,05). Относительная площадь КИ достоверно уменьшалась во 2-й группе в 3,5 раза (р < 0,05) и значимо не изменялась в 1-й группе по сравнению с аналогичным показателем на 3-и сутки (табл. 1).
На 14-е сутки исследования макроскопически на месте раневого дефекта во всех экспериментальных группах наблюдался рубец, площадь которого в 1-й группе составляла 5,4 (5,2-6,7) мм2, что в 2,7 раз статистически значимо больше, чем во 2-й группе (р < 0,05). Микроскопически относительная площадь РВСТ во 2-й группе составляла 96,3 (95,3-97,8) %, что в 1,7 раза достоверно больше, чем в 1-й группе (р < 0,05) (табл. 1). В 1-й группе определялась ГТ относительной площадью 20,3 (18,1-25,1), что в 7,5 раза значимо больше, чем во 2-й группе (p < 0,05). Относительная площадь КИ во 2-й и контрольной группах статистически не отличалась (p > 0,05), и была достоверно меньше, чем в 1-й группе (p < 0,05) (рис. 1, 2).
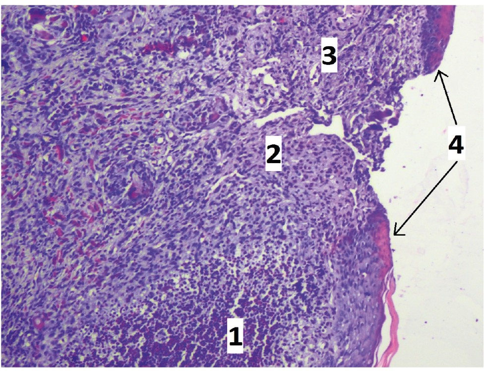
Рисунок 1. Гистологическая картина, характерная для 1-й группы на 14-е сутки исследования
Примечание. Окраска: гематоксилин, эозин. Увеличение: 400. 1 – клеточная инфильтрация; 2 – грануляционная ткань; 3 –рыхлая волокнистая соединительная ткань; 4 – эпителизация краев раневого дефекта.
Figure 1. Histological picture typical for group 1 on the 14th day of the study
Note. Staining: hematoxylin, eosin. Magnification: 100. 1, cellular infiltration; 2, granulation tissue; 3, loose fibrous connective tissue; 4, epithelization of the edges of the wound defect.
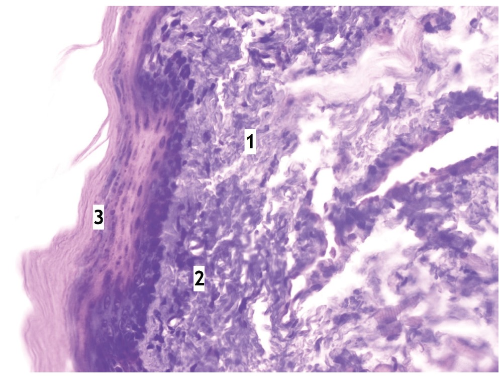
Рисунок 2. Гистологическая картина, характерная для 2-й группы на 14-е сутки исследования
Примечание. Окраска: гематоксилин, эозин. Увеличение: 400. 1 – клеточная инфильтрация; 2 – рыхлая волокнистая соединительная ткань; 3 – полная эпителизация раневого дефекта.
Figure 2. Histological picture typical for group 2 on the 14th day of the study
Note. Staining: hematoxylin, eosin. Magnification: 400. 1, cellular infiltration; 3, loose fibrous connective tissue; 3, complete epithelization of the wound defect.
Заключение
Нетканая мембрана на основе сополимера винилиденфторида с тетрафторэтиленом в комбинации с Ванкомицином способствовала регенерации гнойного раневого дефекта на всех стадиях заживления. Она стимулировала образование грануляционной ткани и созревание рыхлой волокнистой соединительной ткани, способствовала уменьшению клеточной инфильтрации. Макроскопически заживление гнойного раневого дефекта с использованием мембраны на основе сополимера винилиденфторида с тетрафторэтиленом в комбинации с Ванкомицином отличалось более быстрым уменьшением размера дефекта и меньшими рубцовыми изменениями на поздних стадиях регенерации по сравнению с открытой раной.
About the authors
S. A. Sagdullaeva
Siberian State Medical University
Author for correspondence.
Email: sagdullaeva.sofia@gmail.com
Laboratory Assistant-Researcher, Department of Human Anatomy with a Course of Topographic Anatomy and Operative Surgery
Russian Federation, 2 Moscow Trakt, Tomsk, 634050E. Yu. Varakuta
Siberian State Medical University
Email: sagdullaeva.sofia@gmail.com
PhD, MD (Medicine), Associate Professor, Head, Department of Human Anatomy with a Course of Topographic Anatomy and Operative Surgery
Russian Federation, 2 Moscow Trakt, Tomsk, 634050A. V. Shtyr
Siberian State Medical University
Email: sagdullaeva.sofia@gmail.com
Student
Russian Federation, 2 Moscow Trakt, Tomsk, 634050References
- Асланов Б.И., Зуева Л.П., Колосовская Е.Н., Любимова А.В., Хорошилов В.Ю., Долгий А.А., Дарьина М.Г., Техова И.Г. Принципы организации периоперационной антибиотикопрофилактики в учреждениях здравоохранения // Федеральные клинические рекомендации, 2014. C. 11. [Aslanov B.I., Zueva L.P., Kolosovskaya E.N., Lyubimova A.V., Khoroshilov V.Yu., Dolgiy A.A., Daryina M.G., Tekhova I.G. Principles of organizing perioperative antibiotic prophylaxis in healthcare institutions. Federalnye klinicheskie rekomendatsii = Federal Medical Recommendations, 2014, p. 11. (In Russ.)]
- Кригер Е.А., Драчев С.Н., Митькин Н.А., Постоев В.А., Гржибовский А.М. Расчет необходимого объема выборки с использованием программы G*Power // Морская медицина, 2023. Т. 9, № 2. С. 111-125. [Krieger E.A., Drachev S.N., Mitkin N.A., Postoev V.A., Grjibovski A.M. Sample size calculation using G*Power software. Morskaya meditsina = Marine Medicine, 2023. Vol. 9, no. 2, pp. 111-125. (In Russ.)]
- Badaraev A.D., Koniaeva A., Krikova S.A., Shesterikov E.V., Bolbasov E.N., Nemoykina A.L., Bouznik V.M., Stankevich K.S., Zhukov Y.M., Mishin I.P., Varakuta E.Y., Tverdokhlebov S.I. Piezoelectric polymer membranes with thin antibacterial coating for the regeneration of oral mucosa, 2019. Appl. Surf. Sci., 2019, Vol. 504, no. 68, 144068. doi: 10.1016/j.apsusc.2019.144068.
- Dragostin O.M., Samal S.K., Dash M., Lupascu F., Tuchilus C., Ghetu N., Danciu M., Dubruel P., Pieptu D., Vasile C., Tatia R., Profire L., Iacob A.-T. New antimicrobial chitosan derivatives for wound dressing applications. Carbohydr. Polym., 2016, Vol. 141, pp. 28-40.
- Directives directive 2010/63/eu of the european Parliament and of the Council of 22 September 2010 on the protection of animals used for scientific purposes. Available at: https://eur-lex.europa.eu/legal-content/EN/TXT/PDF/?uri = CELEX:32010L0063&from = DE.
- Kalyani P., Selvarasu K., Murthykumar K., Krishnan M., Kumar M.P.S., Lakshmanan S. Comparison of the effectiveness of a novel matrix-modified bovine collagen membrane with a conventional bovine collagen membrane for oral mucosal defects: a single-center study. Cureus, 2024, Vol. 16, no. 2, e53696. doi: 10.7759/cureus.53696.
- Krishna Rao K.S.V., Vijaya Kumar Naidu B., Subha M.C.S.., Sairam M., Aminabhavi T.M. Novel сhitosan-based pH-sensitive interpenetrating network microgels for the controlled release of cefadroxil. Carbohydr. Polym., 2006, Vol. 66, Iss. 3, pp. 333-344.
- Ribeiro R.V.E., Martuscelli O.J.D. Split-thickness skin graft donor-site dressings: is it possible to establish the ideal dressing based on a literature review? 2018. Revista Brasileira de Cirurgia Plástica (RBCP). Br. J. Plast. Surg., 2018, Vol. 33, no. 1, pp. 119-129.
- Taub D., Yampolsky A., Diecidue R., Gold L. Controversies in the management of oral and maxillofacial infections. Oral Maxillofac. Surg. Clin. North Am., 2017, Vol. 29, no. 4, pp. 465-473.
Supplementary files





