Development of a model immunofiltration assay using a conjugate based on horseradish peroxidase
- Authors: Kropaneva M.D.1, Khramtsov P.V.1, Bochkova M.S.1, Rayev M.B.1
-
Affiliations:
- Institute of Ecology and Genetic of Microorganisms, Perm Federal Research Center, Ural Branch, Russian Academy of Sciences
- Issue: Vol 26, No 3 (2023)
- Pages: 313-320
- Section: SHORT COMMUNICATIONS
- Submitted: 28.04.2023
- Accepted: 29.06.2023
- Published: 11.08.2023
- URL: https://rusimmun.ru/jour/article/view/8003
- DOI: https://doi.org/10.46235/1028-7221-8003-DOA
- ID: 8003
Cite item
Full Text
Abstract
The aim of the study was to optimize the conditions for a model immunoassay in the immunofiltration format using diagnostic reagents based on horseradish peroxidase. Residual blood serum samples from patients in the “red” zone with a verified diagnosis of a new coronavirus infection were used as positive sera, and blood sera obtained before 2019 were used as negative samples. The procedure of immunofiltration analysis was carried out using a pool of negative and positive blood sera. Studies were carried out to optimize the analysis procedure and increase the significant characteristics of the test. Results. It has been shown that the addition of sodium dodecyl sulfate to a final concentration of 50 μM in the substrate buffer makes it possible to achieve a higher analytical signal and a stable result 10 minutes after the end of the analysis procedure. Such conditions of immunofiltration analysis as dilutions of the diagnostic reagent, the volume of the introduced sample and the amount of the S-protein of the coronavirus applied to the nitrocellulose membrane were optimized. It has been determined that using immunofiltration analysis it is possible to detect antibodies against the coronavirus S-protein in a dilution of a serum sample of more than 1/1000. The results of immunofiltration analysis reproduce the results of ELISA.
Full Text
Введение
На сегодняшний день существуют многочисленные коммерческие тест-системы, предназначенные для серологической диагностики COVID-19 и пригодные для мониторинга эффективности вакцинации [8]. Однако необходимым направлением исследований остается разработка тест-систем для применения в условиях ограниченных ресурсов [15]. К подобным тестам предъявляются такие требования, как простота, стабильность при хранении, доступность для массового производства. В настоящее время наиболее популярным форматом point-of-care тестов является иммунохроматография. Иммунохроматографические тесты демонстрируют высокую эффективность с точки зрения чувствительности и специфичности, которые могут достигать 97-99% [11]. Несмотря на это, иммунохроматографические тесты от ряда производителей не показали достаточной эффективности, и их производство и продажи были приостановлены регулирующими органами [3, 10].
Таким образом, несмотря на высокую эффективность коммерческих иммуноферментных и иммунохроматографических анализов, для детекции антител к антигенам коронавируса необходимы исследования, направленные на поиск новых форматов анализа и их оптимизацию в контексте применения для определения конкретных мишеней.
Альтернативой иммунохроматографическим анализам могут стать тест-системы в формате иммунофильтрации (ИФ). Суть метода иммунофильтрации состоит в нанесении небольшого объема образца (например, цельной крови или сыворотки крови пациента) на поверхность пористой мембраны, на которой предварительно сорбированы антигены: S-белок коронавируса. Избыток вносимого образца, равно как и всех участвующих в процедуре анализа растворов, фильтруется через мембрану и поглощается пористым материалом, находящимся под мембраной внутри пластикового корпуса иммунофильтрационной ячейки. При прохождении анализируемого образца сквозь поры мембраны происходит связывание иммуноглобулинов класса G (антител), специфичных к сорбированным антигенам. После полного впитывания образца на мембрану наносится раствор диагностического реагента – цветной метки, конъюгированной с моноклональными антителами против IgG человека. Это приводит к тому, что с образовавшимся иммунным комплексом при наличии антител в образце связываются цветные метки, конъюгированные с антивидовыми моноклональными антителами. Избыток диагностического реагента фильтруется сквозь мембрану внутрь впитывающего элемента ячейки. Описанная процедура приводит к образованию комплекса, включающего в себя метку, а каталитическая реакция с ее участием приводит к окрашиванию участков мембраны, где сорбирован S-белок.
Ввиду особенностей описываемого формата анализа, преимущества иммунофильтрации (ИФ) по сравнению с наиболее популярным форматом экспресс-тестов, иммунохроматографией [12], состоят в большей чувствительности, а также отсутствии хук-эффекта (отсутствие сигнала при высоких концентрациях анализируемого вещества в образце) [13] ввиду наличия этапов промывки.
Соответственно, целью настоящего исследования явилась оптимизация условий для модельного иммуноанализа в формате иммунофильтрации для определения антител к Spike-белку коронавируса с использованием диагностических реагентов на основе пероксидазы хрена.
Материалы и методы
Сбор, аликвотирование и хранение сывороток крови
В работе использовали остаточные образцы сыворотки крови пациентов «красной» зоны, с верифицированным диагнозом новой коронавирусной инфекции (COVID-19), находившиеся на лечении в КМСЧ № 1 г. Перми и давшие письменное согласие на использование обезличенных остаточных образцов биоматериалов, а также остаточные образцы сыворотки крови пациентов, сдававших анализы на наличие антител в клинико-диагностической лаборатории ООО «Медлабэкспресс», Перми и давшие письменное согласие на использование обезличенных остаточных образцов биоматериалов (разрешение этического комитета ИЭГМ УрО РАН 04.04.2022). Количество IgG против SARS-CoV-2 было проанализировано методом иммуноферментного анализа (ИФА). В связи с широким распространением новой коронавирусной инфекции и мероприятиями по вакцинации населения получение образцов отрицательных сывороток являлось проблематичным. Поэтому в качестве отрицательных образцов были использованы сыворотки крови, полученные до 2019 года. Сыворотки крови были получены от здоровых доноров в возрасте от 23 до 43 лет, давших письменное согласие (получено разрешение этического комитета ИЭГМ УрО РАН 09.06.2017). Отсутствие в них антител к SARS-CoV-2 было подтверждено результатами ИФА.
Иммунофильтрационный анализ для определения IgG против COVID-19
При разработке иммунофильтрационного анализа ориентировались на протоколы, описанные в работах [1, 2, 4]. Использовали нитроцеллюлозную (н/ц) мембрану с диаметром пор 0,3 мкм. Подготавливали н/ц мембрану нужного размера. На область мембраны с размерами 10 × 10 мм точками по 2 мкл наносили антиген Spike-protein, RBD (S-белок), разведенный до необходимой концентрации в ЗФР. Далее иммуносорбент высушивали 30 минут при комнатной температуре и 1 час 30 минут при 37 °C перемещали в планшет и промывали 35 мл ЗФРТ, процедуру повторяли 3 раза. После этого нитроцеллюлозную мембрану с иммобилизированными антигенами блокировали ЗФР + 0,2 % твин-20 в течение 60 минут, 37 °C, вновь промывали и высушивали. После этого полученный иммуносорбент разрезали на куски меньшего размера (15 × 15 мм), собирали иммунофильтрационную ячейку и проводили анализ. В «окна» для внесения образца добавляли 150 мкл ЗФРТ. После полного впитывания вносили 100 мкл анализируемого образца в блокирующем буфере, через минуту иммунофильтрационную ячейку промывали 150 мкл ЗФРТ. Далее вносили 80 мкл конъюгата HP/Mab vs hum IgG в блокирующем буфере. После 1 минуты ячейки вновь промывали и вносили 80 мкл ТМБ в субстратном буфере (9 мл 5 мМ цитрат-фосфатный буфер, pH 5 + 1 мл 1 мг/мл ТМБ в ДМСО + 2 мкл 30% H2O2) с добавлением 50 мМ додецилсульфата натрия. После 10 минут оценивали результаты анализа: иммунофильтрационную ячейку разбирали, а нитроцеллюлозную мембрану с образовавшимися иммунными комплексами помещали на прозрачную пленку и сканировали. Полученное изображение обрабатывали в программе ImageJ, согласно методу, описанному в статье [5].
Дот-иммуноанализ на нитроцеллюлозной мембране
Подготавливали тест-полоски из нитроцеллюлозной мембраны (с диаметром пор 0,45 мкм), трехкратно промывали ЗФРТ. Далее тест-полоски обрабатывали блокирующим раствором в течение 60 минут при 37 °C, трехкратно промывали и инкубировали с сывороткой крови человека, разведенной в исследуемых блокирующих растворах в 10 раз, вновь промывали и проводили инкубацию с конъюгатом пероксидазы хрена, растворенной в исследуемых блокирующих растворах в 100 раз, в течение 60 минут при 37 °C. После процедуры промывки тест-полоски высушивали, фиксировали на белом листе бумаги и сканировали. В качестве контрольного образца была использована тест-полоска, не подвергавшаяся процедуре анализа. Результат получали путем вычитания показателя интенсивности окрашивания фонового сигнала исследуемых образцов из показателя интенсивности окрашивания фонового сигнала контрольного образца.
Синтез конъюгата пероксидазы хрена с моноклональными антителами против IgG человека проводили согласно методике [14].
Результаты и обсуждение
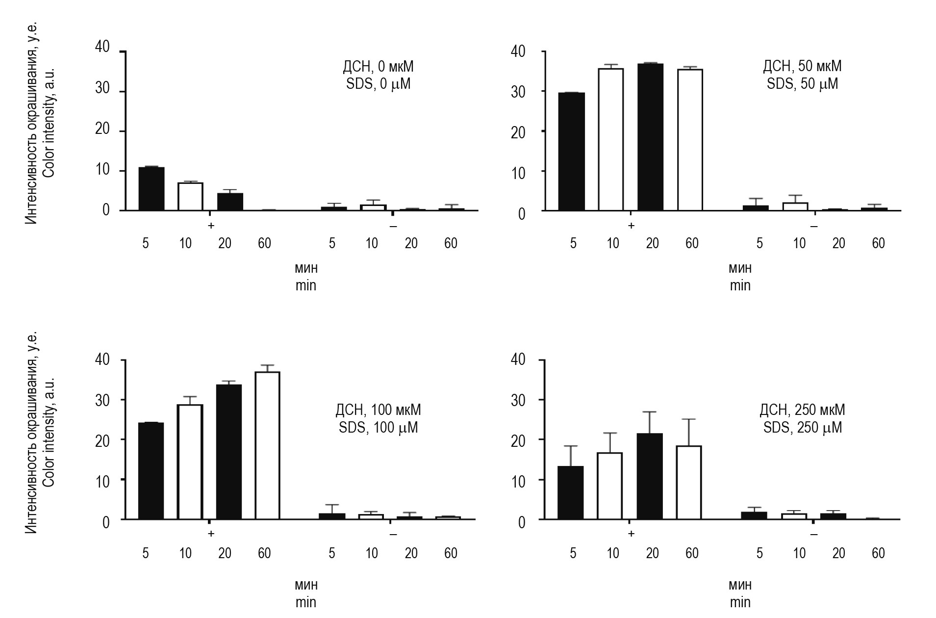
Применение ферментной метки в составе диагностического реагента предполагает добавление субстрата тетраметилбензидина-3,3›,5,5› (ТМБ). Традиционно, в качестве буфера для разведения ТМБ используют цитрат-фосфатный буфер, pH 5 c добавлением 0,02% H2O2. В результате предварительных экспериментов было показано, что использование данного буфера в иммунофильтрационном анализе не позволяет получить стабильный аналитический сигнал. Реакция окисления субстрата пероксидазой хрена идет с высокой скоростью, что приводит к обесцвечиванию аналитической зоны. Это снижает качество оценки результатов анализа. В работе [7] продемонстрировано, что добавление додецилсульфата натрия (ДСН) позволяет достигать стабильного сигнала в анализах с использованием пероксидазы хрена и ТМБ. В связи с этим нами была протестирована эффективность использования ДСН в качестве стабилизатора сигнала в иммунофильтрационном анализе для определения антител против антигена SARS-CoV-2. В качестве анализируемых образцов использовали пул из трех положительных сывороток крови с высоким уровнем антител и пул из трех отрицательных сывороток крови в разведении 1/10 в блокирующем буфере. Было протестировано три различных концентрации ДСН: 50, 100 и 250 мкМ. Анализ проводили согласно протоколу, описанному в разделе «Материалы и методы». Регистрацию аналитического сигнала проводили через 5, 10, 20 минут. Было показано, что добавление ДСН до конечной концентрации 50 мкМ в субстратный буфер позволяет достичь более высокого аналитического сигнала и стабильного результата спустя 10 минут после окончания процедуры анализа (рис. 1).
Рисунок 1. Оценка влияния концентрации додецила сульфата натрия на аналитический сигнал иммунофильтрационного анализа для определения антител к SARS-CoV-2
Примечание. «+» – положительный образец, «—» – отрицательный образец; n = 2, среднее значение ± стандартное отклонение.
Figure 1. Evaluation of the effect of the concentration of sodium dodecyl sulfate on the analytical signal of the immunofiltration assay for the detection of antibodies to SARS-CoV-2
Note. “+”, positive sample; “—”, negative sample; n = 2, mean ± standard deviation.
На следующем этапе был проведен скрининг оптимального блокирующего раствора. Было протестировано 12 блокаторов в трех различных концентрациях. В данном случае было важным уменьшение фонового сигнала на нитроцеллюлозной мембране. Поэтому скрининг блокаторов проводили при помощи метода дот-иммуноанализа без стадии сорбции антигена коронавируса S-белка. В результате было показано, что при использовании в качестве блокатора детергента твина-20 в концентрации 0,2% наблюдается наименьший фоновый сигнал (рис. 2А).
Далее исследовали влияние блокирующего эффекта наиболее распространенных детергентов на фоновый сигнал в дот-иммуноанализе. Использовали твин-20, твин-80 и тритон X-100 в различных концентрациях. Анализ также проводили без стадии сорбции S-белка. После завершения процедуры анализа тест-полоски сканировали и оценивали интенсивность окрашивания фона. Определено, что для анализа, проводимого на нитроцеллюлозной мембране, c использованием детектирующего реагента на основе пероксидазы хрена оптимальный блокирующий эффект достигается путем добавления в блокирующий буфер детергента твина-20 до конечной концентрации 0,2% (рис. 2Б).
Рисунок 2. Оптимизация состава блокирующего буфера для иммунофильтрационного анализа с использованием пероксидазы хрена
Примечание. A – скрининг блокирующих растворов методом дот-иммуноанализа. Б – оптимизация состава блокирующего раствора на основе детергентов. Обозначение блокирующих растворов: А – бычий сывороточный альбумин (БСА); B – казеин (каз); C – желатин из кожи холодноводных рыб; D – сыворотка крови кролика; Е – сыворотка крови лошади; F – поливинилпиролидон; G-полиэтиленгликоль 30000; H – Поли(2-этил-2-оксазолин); I – декстран70; J – трегалоза; K – фиколл 400; L – твин20; M – каз 1%+БСА 1%; N – каз 3% + БСА 1%; O – контроль; n = 2, среднее значение ± стандартное отклонение.
Figure 2. Optimization of the composition of the blocking buffer for immunofiltration assay using horseradish peroxidase
Note. (A) Screening of blocking solutions by dot-immunoassay. (B) Optimization of the composition of the blocking solution based on detergents. Designation of blocking solutions: A, bovine serum albumin (BSA); B, casein (kaz); C, gelatin from the skin of cold water fish; D, rabbit blood serum; E, horse blood serum; F, polyvinylpyrrolidone; G, polyethylene glycol 30000; H, Poly(2-ethyl-2-oxazoline); I, dextran70; J, trehalose; K, ficoll 400; L, twin20; M, kaz 1%+BSA 1%; N, kaz 3% + BSA 1%; O, control; n = 2, mean ± standard deviation.
Дальнейшие исследования были направлены на оптимизацию процедуры иммунофильтрационного анализа. В качестве аналитических образцов использовали образцы пуллированных отрицательных и положительных сывороток. Были оптимизированы следующие параметры:
В оптимизированных условиях был проведен иммунофильтрационный анализ количества антител против S-белка коронавируса в сыворотке крови. Для построения калибровочной кривой использовали 10-кратные разведения пула положительных сывороток крови с высоким титром антител против S-белка коронавируса (от 1/10 до 1/10000) и пул отрицательных сывороток крови (разведение 1/10) (рис. 3Г). Определено, что с помощью иммунофильтрационного анализа возможно определение антител против S-белка коронавируса в разведении образца сыворотки более чем 1/1000. Дополнительно была построена калибровочная кривая для определения антител против S-белка в сыворотке крови методом иммуноферментного анализа. Из графика на рисунке 3Г видно, что результаты иммунофильтрационного анализа соответствуют результатам ИФА.
Рисунок 3. Оптимизация иммунофильтрационного анализа для определения антител против S-белка коронавируса
Примечание. А – влияние разведения конъюгата пероксидазы хрена на результат иммунофильтрациооного анализа. Б – влияние количества сорбированного S-белка на нитроцеллюлозной мембране на результат иммунофильтрационного анализа. В – влияние вносимого объема образца сыворотки крови на результат иммунофильтрационного анализа. Г – сравнение калибровочных кривых антител против S-белка в сыворотке крови, полученных методами иммунофильтрационного и иммуноферментного анализов; n = 2, среднее значение ± стандартное отклонение
Figure 3. Optimization of the immunofiltration assay for the detection of antibodies against the coronavirus S-protein
Note. (A) Influence of horseradish peroxidase conjugate dilution on the result of immunofiltration assay. (B) Influence of the amount of adsorbed S-protein on the nitrocellulose membrane on the result of immunofiltration assay. (C) Influence of the introduced volume of the blood serum sample on the result of immunofiltration assay. (D) Comparison of calibration curves of anti-S-protein antibodies in blood serum obtained by immunofiltration and enzyme immunoassay methods; n = 2, mean ± standard deviation.
Заключение
Таким образом, была оптимизирована модель тест-системы в формате иммунофильтрационного анализа для определения антител к SARS-CoV-2 c использованием ферментной метки – пероксидазы хрена. Альтернативой традиционным диагностическим реагентам на основе ферментной метки пероксидазы хрена могут стать биоконъюгаты на основе нанозимов берлинской лазури [6, 9]. Однако в таких исследованиях неизбежностью является сравнение диагностикумов на основе экспериментальных меток с традиционными. Соответственно, полученные данные также можно использовать в исследованиях по конструированию иммунофильтрационных анализов с использованием синтетических аналогов пероксидазы хрена – наноматериалов с пероксидазоподобной активностью. Результаты данной научной работы также могут служить основой для разработки колориметрических тест-систем в формате иммунофильтрации для оценки уровня антител к разнообразным мишеням.
About the authors
Mariya D. Kropaneva
Institute of Ecology and Genetic of Microorganisms, Perm Federal Research Center, Ural Branch, Russian Academy of Sciences
Author for correspondence.
Email: kropanevamasha@gmail.com
ORCID iD: 0000-0001-7068-2789
PhD (Biology), Junior Research Associate, Laboratory of Cell Immunology and Biotechnology
Russian Federation, 13 Golev St., Perm 614081Pavel Viktorovich V. Khramtsov
Institute of Ecology and Genetic of Microorganisms, Perm Federal Research Center, Ural Branch, Russian Academy of Sciences
Email: khramtsovpavel@yandex.ru
PhD (Biology), Senior Research Associate, Laboratory of Cell Immunology and Biotechnology
Russian Federation, 13 Golev St., Perm 614081Mariya S. Bochkova
Institute of Ecology and Genetic of Microorganisms, Perm Federal Research Center, Ural Branch, Russian Academy of Sciences
Email: krasnykh-m@mail.ru
PhD (Biology), Research Associate, Laboratory of Cell Immunology and Biotechnology
Russian Federation, 13 Golev St., Perm 614081Mikhail Borisovich B. Rayev
Institute of Ecology and Genetic of Microorganisms, Perm Federal Research Center, Ural Branch, Russian Academy of Sciences
Email: mraev@iegm.ru
PhD, MD (Biology), Head, Laboratory of Cell Immunology and Biotechnology
Russian Federation, 13 Golev St., Perm 614081References
- Adil B., Shankar K.M., Naveen Kumar B.T., Patil R., Ballyaya A., Ramesh K.S., Poojary S.R., Byadgi O.V., Siriyappagouder P. Development and standardization of a monoclonal antibody-based rapid flow-through immunoassay for the detection of Aphanomyces invadans in the field // J Vet Sci, 2013, Vol. 14, no. 4. pp. 413-419.
- Castro A.R., Mody H.C., Parab S.Y., Patel M.T., Kikkert S.E., Park M.M., Ballard R.C. An immunofiltration device for the simultaneous detection of non-treponemal and treponemal antibodies in patients with syphilis. STI, 2010, Vol. 86, no. 7, pp. 532-536.
- Ernst E., Wolfe P., Stahura C., Edwards K.A. Technical considerations to development of serological tests for SARS-CoV-2. Talanta, 2021, Vol. 224, pp. 121883. . doi: 10.1016/j.talanta.2020.121883
- Kalita P, Chaturvedula L.M., Sritharan V, Gupta S. In vitro flow-through assay for rapid detection of endotoxin in human sera: A proof-of-concept. Nanomedicine: NBM, 2017. Vol. 13, no. 4. pp.1483-1490.
- Khramtsov, P., Bochkova M., Timganova V, Zamorina S., Rayev M. Dot immunoassay for the simultaneous determination of postvaccination immunity against pertussis, diphtheria, and tetanus. Anal Bioanal Chem, 2017, Vol. 409, pp.3831–3842.
- Komkova M.A., Vetoshev K.R., Andreev E.A., Karyakin A.A. Flow-electrochemical synthesis of Prussian Blue based nanozyme 'artificial peroxidase'. Dalton Transactions, 2021, Vol. 50, no. 133, pp. 11385-11389.
- Li M., He Yif., Meng H., Dong Y., Shang Y., Liu H., Qu Z., Liu Y. Multiple effects of sodium dodecyl sulfate on chromogenic catalysis of tetramethylbenzidine with horseradish peroxidase. J. Dispers. Sci., 2019, Vol. 45, no 3. pp. 1409-1416.
- Oishee M.J., Ali T., Jahan N., Khandker S.S., Haq M.A., Khondoker M.U., Sil B.K., Lugova H., Krishnapillai A., Abubakar A.R., Kumar S., Haque, M. Jamiruddin, M.R. Adnan, N. Covid-19 pandemic: Review of contemporary and forthcoming detection tools. Infect. Drug Resist., 2021, Vol. 14, pp. 1049-1082. doi: 10.2147/IDR.S289629
- Panferov V.G., Safenkova I.V., Zherdev A.V., Dzantiev B.B. The steadfast Au@Pt soldier: Peroxide-tolerant nanozyme for signal enhancement in lateral flow immunoassay of peroxidase-containing samples. Talanta, 2021, Vol. 225, pp. 121961.
- Pérez-López B., Mir M. Commercialized diagnostic technologies to combat SARS-CoV2: Advantages and disadvantages. Talanta, 2021, Vol. 225, pp. 121898.
- Robertson L.J., Moore J.S., Blighe K., Ng K.Y., Quinn N., Jennings F., Warnock G., Sharpe P., Clark M., Maguire K., Rainey S., Price R.K., Burns W.P., Kowalczyk A.M., Awuah A., Mcnamee S.E., Wallace G.E., Hunter D., Sager S., Chao Shern C., Nesbit M.A., Mclaughlin J.A.D., Moore T. Evaluation of the IgG antibody response to SARS CoV-2 infection and performance of a lateral flow immunoassay: cross-sectional and longitudinal analysis over 11 months. BMJ Open, 2021, Vol. 11, no. 6, pp. 048142.
- Ross G.M.S., Filippini D., Nielen M.W.F., Salentijn G.I.J. Unraveling the Hook Effect: A Comprehensive Study of High Antigen Concentration Effects in Sandwich Lateral Flow Immunoassays. Anal. Chem., 2020, Vol. 92, no. 23, pp. 15587-15595.
- Ross G.M.S., Salentijn G.I., Nielen M.W.F. A Critical Comparison between Flow-through and Lateral Flow Immunoassay Formats for Visual and Smartphone-Based Multiplex Allergen Detection. Biosensors (Basel), 2019; Vol. 9, no. 4, pp. 143.
- Tsang V., Greene R. M., Pilcher J. B. Optimization of the Covalent Conjugating Procedure (NaIO4) of Horseradish Peroxidase to Antibodies for Use in Enzyme-Linked Immunosorbent Assay. J. Immunoass., 1995, Vol. 16, no. 4. pp 395-418.
- Vandenberg O, Martiny D, Rochas O, van Belkum A, Kozlakidis Z. Considerations for diagnostic COVID-19 tests. Nat Rev Microbiol, 2021, Vol. 19, no. 3, pp. 171-183.






